Antibody data
- Antibody Data
- Antigen structure
- References [0]
- Comments [0]
- Validations
- Immunocytochemistry [2]
- Immunohistochemistry [1]
Submit
Validation data
Reference
Comment
Report error
- Product number
- PA5-57211 - Provider product page

- Provider
- Invitrogen Antibodies
- Product name
- CCDC14 Polyclonal Antibody
- Antibody type
- Polyclonal
- Antigen
- Recombinant protein fragment
- Description
- Immunogen sequence: TCTDVLRNSF NTSPGVPCSL PKTDISAIPT LQQLGLVNGI LPQQGIHKET DLLKCIQTYL SLFRSHGKET HLDSQTHRSP TQSQPAFLA Highest antigen sequence identity to the following orthologs: Mouse - 52%, Rat - 43%.
- Reactivity
- Human
- Host
- Rabbit
- Isotype
- IgG
- Vial size
- 100 μL
- Concentration
- 0.2 mg/mL
- Storage
- Store at 4°C short term. For long term storage, store at -20°C, avoiding freeze/thaw cycles.
No comments: Submit comment
Supportive validation
- Submitted by
- Invitrogen Antibodies (provider)
- Main image

- Experimental details
- Immunofluorescent staining of CCDC14 in human cell line A-431 using a CCDC14 Polyclonal Antibody (Product # PA5-57211) shows localization to centrosome.
- Submitted by
- Invitrogen Antibodies (provider)
- Main image

- Experimental details
- Immunofluorescent staining of CCDC14 in human cell line A-431 using a CCDC14 Polyclonal Antibody (Product # PA5-57211) shows localization to centrosome.
Supportive validation
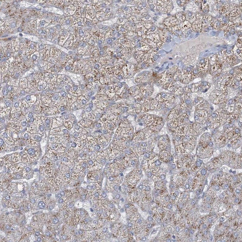
- Submitted by
- Invitrogen Antibodies (provider)
- Main image

- Experimental details
- Immunohistochemical analysis of CCDC14 in human liver using CCDC14 Polyclonal Antibody (Product # PA5-57211) shows moderate cytoplasmic positivity in hepatocytes.