TA800554
antibody from OriGene
Targeting: HBS1L
DKFZp434g247, EF-1a, eRF3c, ERFS, HBS1, HSPC276, KIAA1038
Antibody data
- Antibody Data
- Antigen structure
- References [0]
- Comments [0]
- Validations
- Western blot [1]
- Immunohistochemistry [2]
Submit
Validation data
Reference
Comment
Report error
- Product number
- TA800554 - Provider product page

- Provider
- OriGene
- Proper citation
- OriGene Cat#TA800554, RRID:AB_2625530
- Product name
- HBS1L mouse monoclonal antibody, clone OTI1C1 (formerly 1C1)
- Antibody type
- Monoclonal
- Description
- HBS1L mouse monoclonal antibody, clone OTI1C1 (formerly 1C1)
- Host
- Mouse
- Conjugate
- Unconjugated
- Epitope
- HBS1L
- Isotype
- IgG
- Antibody clone number
- OTI1C1
- Vial size
- 100 µl
- Concentration
- 1 mg/ml
No comments: Submit comment
Supportive validation
- Submitted by
- OriGene (provider)
- Main image

- Experimental details
- HEK293T cells were transfected with the pCMV6-ENTRY control (Left lane) or pCMV6-ENTRY HBS1L (RC208125, Right lane) cDNA for 48 hrs and lysed. Equivalent amounts of cell lysates (5 ug per lane) were separated by SDS-PAGE and immunoblotted with anti-HBS1L.
- Validation comment
- WB
Supportive validation
- Submitted by
- OriGene (provider)
- Main image

- Experimental details
- Immunohistochemical staining of paraffin-embedded Human breast tissue within the normal limits using anti-HBS1L mouse monoclonal antibody. (Heat-induced epitope retrieval by 10mM citric buffer, pH6.0, 100C for 10min, TA800554)
- Validation comment
- IHC
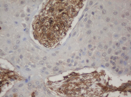
- Submitted by
- OriGene (provider)
- Main image

- Experimental details
- Immunohistochemical staining of paraffin-embedded Carcinoma of Human lung tissue using anti-HBS1L mouse monoclonal antibody. (Heat-induced epitope retrieval by 10mM citric buffer, pH6.0, 100C for 10min, TA800554)
- Validation comment
- IHC