Antibody data
- Antibody Data
- Antigen structure
- References [0]
- Comments [0]
- Validations
- Western blot [1]
- Immunocytochemistry [1]
- Immunohistochemistry [4]
Submit
Validation data
Reference
Comment
Report error
- Product number
- PA5-60376 - Provider product page

- Provider
- Invitrogen Antibodies
- Product name
- MRPS9 Polyclonal Antibody
- Antibody type
- Polyclonal
- Antigen
- Recombinant protein fragment
- Description
- Immunogen sequence: RLRHTAFVIP KKNVPTSKRE TYTEDFIKKQ IEEFNIGKRH LANMMGEDPE TFTQEDIDRA IAYLFPSGLF EKRARPVMKH PE Highest antigen sequence identity to the following orthologs: Mouse - 83%, Rat - 80%.
- Reactivity
- Human
- Host
- Rabbit
- Isotype
- IgG
- Vial size
- 100 μL
- Concentration
- 0.2 mg/mL
- Storage
- Store at 4°C short term. For long term storage, store at -20°C, avoiding freeze/thaw cycles.
No comments: Submit comment
Supportive validation
- Submitted by
- Invitrogen Antibodies (provider)
- Main image

- Experimental details
- Western blot analysis of MRPS9 using MRPS9 Polyclonal Antibody (Product # PA5-60376) (A) shows similar pattern to an independent MRPS9 Polyclonal Antibody (B).
Supportive validation
- Submitted by
- Invitrogen Antibodies (provider)
- Main image

- Experimental details
- Immunofluorecent analysis of MRPS9 in human cell line A-431 using MRPS9 Polyclonal Antibody (Product # PA5-60376). Staining shows localization to mitochondria.
Supportive validation
- Submitted by
- Invitrogen Antibodies (provider)
- Main image

- Experimental details
- Immunohistochemical staining of MRPS9 in human heart muscle using a MRPS9 Polyclonal Antibody (Product # PA5-60376) shows strong cytoplasmic positivity in myocytes.
- Submitted by
- Invitrogen Antibodies (provider)
- Main image

- Experimental details
- Immunohistochemical staining of MRPS9 in human pancreas using MRPS9 Polyclonal Antibody (Product # PA5-60376) shows low expression as expected.
- Submitted by
- Invitrogen Antibodies (provider)
- Main image

- Experimental details
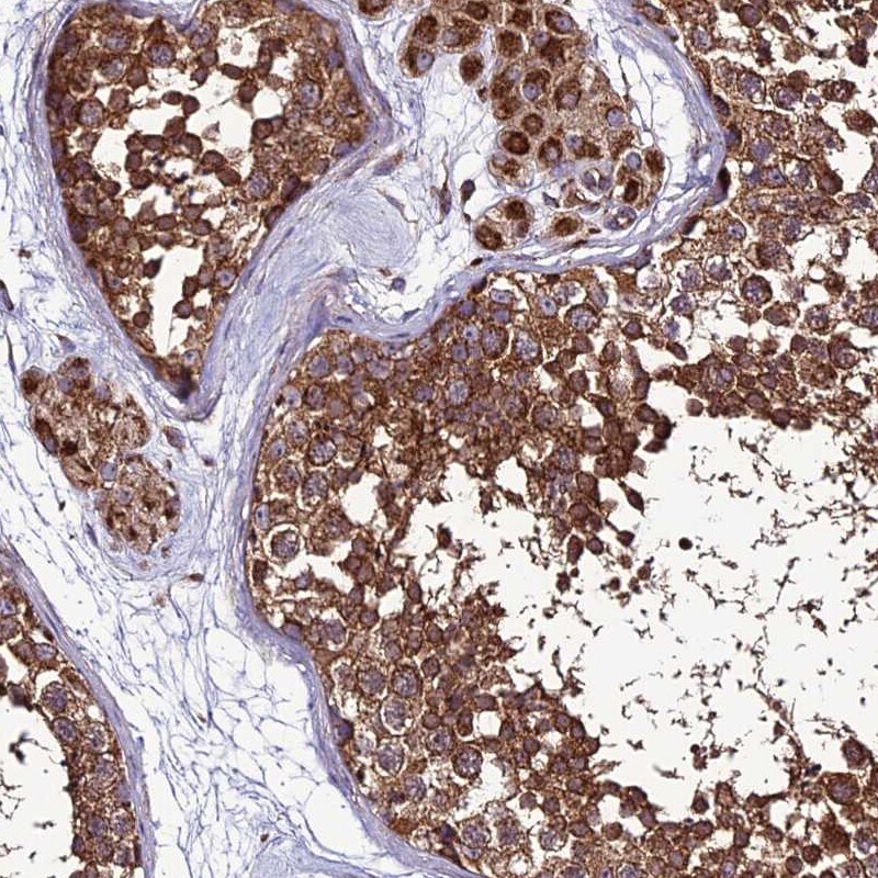
- Immunohistochemical staining of MRPS9 in human testis using MRPS9 Polyclonal Antibody (Product # PA5-60376) shows high expression.
- Submitted by
- Invitrogen Antibodies (provider)
- Main image

- Experimental details
- Immunohistochemical staining of MRPS9 in human pancreas using MRPS9 Polyclonal Antibody (Product # PA5-60376) shows low expression as expected.