Antibody data
- Antibody Data
- Antigen structure
- References [0]
- Comments [0]
- Validations
- Western blot [1]
- Immunohistochemistry [1]
Submit
Validation data
Reference
Comment
Report error
- Product number
- GTX106823 - Provider product page

- Provider
- GeneTex
- Proper citation
- GeneTex Cat#GTX106823, RRID:AB_1950305
- Product name
- FOXRED1 antibody [C1C3]
- Antibody type
- Polyclonal
- Reactivity
- Human
- Host
- Rabbit
No comments: Submit comment
Supportive validation
- Submitted by
- GeneTex (provider)
- Main image

- Experimental details
- Sample(30 ug whole cell lysate)A:A431(GTX27909)B:Raji (GTX27908)7.5% SDS PAGEGTX106823 diluted at 1:1000
Supportive validation
- Submitted by
- GeneTex (provider)
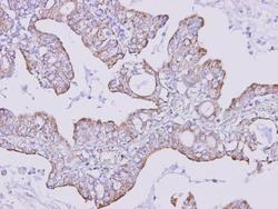
- Main image

- Experimental details
- Immunohistochemical analysis of paraffin-embedded human lung cancer, using FOXRED1(GTX106823) antibody at 1:300 dilution.