Antibody data
- Antibody Data
- Antigen structure
- References [0]
- Comments [0]
- Validations
- Western blot [1]
- Immunohistochemistry [1]
Submit
Validation data
Reference
Comment
Report error
- Product number
- OAAF03997 - Provider product page

- Provider
- Aviva Systems Biology
- Product name
- PEX7 Antibody
- Antibody type
- Polyclonal
- Reactivity
- Human, Mouse, Rat
- Host
- Rabbit
- Vial size
- 100µg
- Storage
- Store at -20°C/1 year
No comments: Submit comment
Supportive validation
- Submitted by
- Aviva Systems Biology (provider)
- Main image

- Experimental details
- Western blot analysis of extracts from NIH/3T3 cells, using PEX7 antibody. The lane on the right is treated with the synthesized peptide.
Supportive validation
- Submitted by
- Aviva Systems Biology (provider)
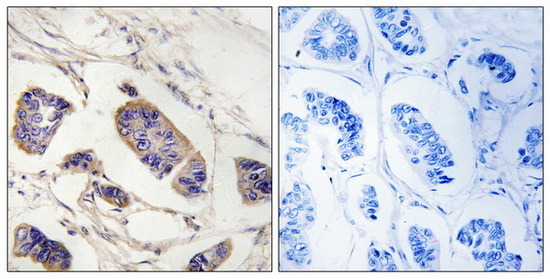
- Main image

- Experimental details
- Immunohistochemistry analysis of paraffin-embedded human breast carcinoma tissue, using PEX7 antibody. The picture on the right is treated with the synthesized peptide.