Antibody data
- Antibody Data
- Antigen structure
- References [0]
- Comments [0]
- Validations
- Western blot [1]
- Immunohistochemistry [2]
Submit
Validation data
Reference
Comment
Report error
- Product number
- ABIN394703 - Provider product page

- Provider
- antibodies-online
- Product name
- anti-Rhophilin Associated Tail Protein 1 (ROPN1) (AA 1-121) antibody
- Antibody type
- Monoclonal
- Description
- This antibody is purified through a protein G column, eluted with high and low pH buffers and neutralized immediately, followed by dialysis against PBS.
- Reactivity
- Human
- Host
- Mouse
- Epitope
- AA 1-121
- Isotype
- IgG
- Antibody clone number
- 4E11
- Vial size
- 100 μg
- Storage
- Maintain refrigerated at 2-8°C for up to 6 months. For long term storage store at -20°C in small aliquots to prevent freeze-thaw cycles
No comments: Submit comment
Supportive validation
- Submitted by
- antibodies-online (provider)
- Main image

- Experimental details
- WB
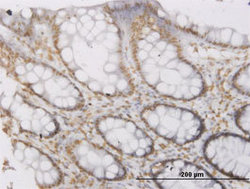
Supportive validation
- Submitted by
- antibodies-online (provider)
- Main image

- Experimental details
- IHC
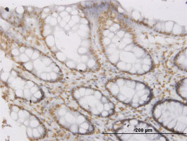
- Submitted by
- antibodies-online (provider)
- Main image

- Experimental details
- IHC