Antibody data
- Antibody Data
 - Antigen structure
 - References [4]
 - Comments [0]
 - Validations
 - Western blot [6]
 - Immunocytochemistry [1]
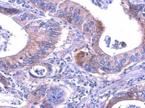
 - Immunohistochemistry [1]
 
Submit
Validation data
Reference
Comment
Report error
- Product number
 - GTX101747 - Provider product page

 - Provider
 - GeneTex
 - Proper citation
 - GeneTex Cat#GTX101747, RRID:AB_2037332
 - Product name
 - LDH-B antibody
 - Antibody type
 - Polyclonal
 - Reactivity
 - Human, Mouse, Rat
 - Host
 - Rabbit
 
Submitted references		ATP produced by anaerobic glycolysis is essential for enucleation of human erythroblasts.
				
Diet-induced obesity accelerates blood lactate accumulation of rats in response to incremental exercise to maximum.
				
Integrating transcriptomics and proteomics to show that tanshinone IIA suppresses cell growth by blocking glucose metabolism in gastric cancer cells.
				
Quantitative proteomic analysis of human lung tumor xenografts treated with the ectopic ATP synthase inhibitor citreoviridin.
				
		
	
			Goto T, Ubukawa K, Kobayashi I, Sugawara K, Asanuma K, Sasaki Y, Guo YM, Takahashi N, Sawada K, Wakui H, Nunomura W
Experimental hematology 2019 Apr;72:14-26.e1
		Experimental hematology 2019 Apr;72:14-26.e1
Diet-induced obesity accelerates blood lactate accumulation of rats in response to incremental exercise to maximum.
			Chen CJ, Liao YH, Lin SY, Yu JX, Li ZJ, Lin YC, Chang GJ, Lin CH, Wong AM
American journal of physiology. Regulatory, integrative and comparative physiology 2017 Nov 1;313(5):R601-R607
		American journal of physiology. Regulatory, integrative and comparative physiology 2017 Nov 1;313(5):R601-R607
Integrating transcriptomics and proteomics to show that tanshinone IIA suppresses cell growth by blocking glucose metabolism in gastric cancer cells.
			Lin LL, Hsia CR, Hsu CL, Huang HC, Juan HF
BMC genomics 2015 Feb 5;16:41
		BMC genomics 2015 Feb 5;16:41
Quantitative proteomic analysis of human lung tumor xenografts treated with the ectopic ATP synthase inhibitor citreoviridin.
			Wu YH, Hu CW, Chien CW, Chen YJ, Huang HC, Juan HF
PloS one 2013;8(8):e70642
		PloS one 2013;8(8):e70642
				No comments: Submit comment	
	
			
							
					Supportive validation
					
									
				
				- Submitted by
 - GeneTex (provider)
 - Main image
 
- Experimental details
 - Sample (30 ug of whole cell lysate) A: A549 B: H1299 C: HCT116 D: MCF-7 10% SDS PAGE GTX101747 diluted at 1:500
 - Validation comment
 - WB
 
- Submitted by
 - GeneTex (provider)
 - Main image
 
- Experimental details
 - LDH-B antibody detects LDH-B protein by western blot analysis.A. 50 ?g mouse brain extract10 % SDS-PAGELDH-B antibody (GTX101747) dilution: 1:500
 - Validation comment
 - WB
 
- Submitted by
 - GeneTex (provider)
 - Main image
 
- Experimental details
 - LDH-B antibody detects LDH-B protein by western blot analysis.A. 50 ?g rat brain extract10 % SDS-PAGELDH-B antibody (GTX101747) dilution: 1:500
 - Validation comment
 - WB
 
- Submitted by
 - GeneTex (provider)
 - Main image
 
- Experimental details
 - Various whole cell extracts (30 ?g) were separated by 10% SDS-PAGE, and the membrane was blotted with LDH-B antibody (GTX101747) diluted at 1:500. The HRP-conjugated anti-rabbit IgG antibody (GTX213110-01) was used to detect the primary antibody.
 
- Submitted by
 - GeneTex (provider)
 - Main image
 
- Experimental details
 - Various tissue extracts (50 ?g) were separated by 10% SDS-PAGE, and the membrane was blotted with LDH-B antibody (GTX101747) diluted at 1:500. The HRP-conjugated anti-rabbit IgG antibody (GTX213110-01) was used to detect the primary antibody.
 
- Submitted by
 - GeneTex (provider)
 - Main image
 
- Experimental details
 - Wild-type (WT) and LDH-B knockout (KO) 293T cell extracts (30 ?g) were separated by 10% SDS-PAGE, and the membrane was blotted with LDH-B antibody (GTX101747) diluted at 1:500. The HRP-conjugated anti-rabbit IgG antibody (GTX213110-01) was used to detect the primary antibody, and the signal was developed with Trident ECL plus-Enhanced.
 
							
					Supportive validation
					
									
				
				- Submitted by
 - GeneTex (provider)
 - Main image
 
- Experimental details
 - Immunofluorescence analysis of methanol-fixed HeLa, using LDH-B(GTX101747) antibody at 1:50 dilution.
 
							
					Supportive validation
					
									
				
		- Submitted by
 - GeneTex (provider)
 - Main image
 
- Experimental details
 - LDH-B antibody detects LDHB protein at cytosol on human gastric cancer by immunohistochemical analysis. Sample: Paraffin-embedded gastric cancer. LDH-B antibody (GTX101747) dilution: 1:200.