Antibody data
- Antibody Data
- Antigen structure
- References [0]
- Comments [0]
- Validations
- Western blot [2]
- Immunocytochemistry [1]
- Immunohistochemistry [4]
Submit
Validation data
Reference
Comment
Report error
- Product number
- UM500039CF - Provider product page
- Provider
- Invitrogen Antibodies
- Product name
- ALDH1L1 Monoclonal Antibody (UMAB43), UltraMAB™
- Antibody type
- Monoclonal
- Antigen
- Recombinant full-length protein
- Reactivity
- Human, Mouse, Rat, Canine
- Host
- Mouse
- Isotype
- IgG
- Antibody clone number
- UMAB43
- Vial size
- 100 µg
- Concentration
- 1 mg/mL
- Storage
- -20° C, Avoid Freeze/Thaw Cycles
No comments: Submit comment
Supportive validation
- Submitted by
- Invitrogen Antibodies (provider)
- Main image
- Experimental details
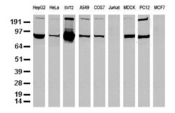
- Western blot analysis of extracts (35 µg) from 9 different cell lines by using anti-ALDH1L1 monoclonal antibody (Clone UMAB43).
- Submitted by
- Invitrogen Antibodies (provider)
- Main image
- Experimental details
- Western Blot analysis of 10 different human tissue lysates (10 µg) by using anti-ALDH1L1 monoclonal antibody (clone UMAB43, 1:500)
Supportive validation
- Submitted by
- Invitrogen Antibodies (provider)
- Main image
- Experimental details
- Immunofluorescent staining of A549 cells using ALDH1L1 mouse monoclonal antibody (UM500039, green). Actin filaments were labeled with TRITC-phalloidin (red), and nuclear with DAPI (blue). The three-color overlay image is located at the bottom-right corner.
Supportive validation
- Submitted by
- Invitrogen Antibodies (provider)
- Main image
- Experimental details
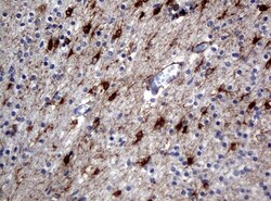
- Immunohistochemical staining of paraffin-embedded human adult brain tissue using anti-ALDH1L1 mouse monoclonal antibody. (UM500039; heat-induced epitope retrieval by 10mM citric buffer, pH6.0, 120°C for 3min)
- Submitted by
- Invitrogen Antibodies (provider)
- Main image
- Experimental details
- Immunohistochemical staining of paraffin-embedded human embryonic liver tissue using ALDH1L1 clone UMAB43 mouse monoclonal antibody. Heat-induced epitope retrieval by 10mM citric buffer, pH6.0, 120°C for 3min in pressure chamber/cooker. UM500039 was diluted 1:400 and detection shown with HRP enzyme and DAB chromogen. Strong cytoplasmic and membranous staining is seen in the hepatocyte.
- Submitted by
- Invitrogen Antibodies (provider)
- Main image
- Experimental details
- Immunohistochemical staining of paraffin-embedded human embryonic brain cortex tissue using ALDH1L1 clone UMAB43 mouse monoclonal antibody. Heat-induced epitope retrieval by 10mM citric buffer, pH6.0, 120°C for 3min in pressure chamber/cooker. UM500039 was diluted 1:400 and detection shown with HRP enzyme and DAB chromogen. Strong cytoplasmic and membranous staining is seen in the in the glia, nueronal, and endothelial cells.
- Submitted by
- Invitrogen Antibodies (provider)
- Main image
- Experimental details
- Immunohistochemical staining of paraffin-embedded human embryonic cerebellum using anti-ALDH1L1 mouse monoclonal antibody. (UM500039; heat-induced epitope retrieval by 10mM citric buffer, pH6.0, 120°C for 3min)