Antibody data
- Antibody Data
- Antigen structure
- References [0]
- Comments [0]
- Validations
- Immunohistochemistry [3]
Submit
Validation data
Reference
Comment
Report error
- Product number
- AP23829PU-N - Provider product page

- Provider
- OriGene
- Product name
- GCC2 (1174-1185) goat polyclonal antibody, Aff - Purified
- Antibody type
- Polyclonal
- Description
- GCC2 (1174-1185) goat polyclonal antibody, Aff - Purified
- Host
- Goat
- Conjugate
- Unconjugated
- Epitope
- GCC2
- Antibody clone number
- NULL
- Vial size
- 50 µg
- Concentration
- 0,5 mg/ml
No comments: Submit comment
Supportive validation
- Submitted by
- OriGene (provider)
- Main image

- Experimental details
- Human Spleen: Formalin-Fixed, Paraffin-Embedded (FFPE)
- Validation comment
- IHC
- Submitted by
- OriGene (provider)
- Main image

- Experimental details
- Human Small Intestine: Formalin-Fixed, Paraffin-Embedded (FFPE)
- Validation comment
- IHC
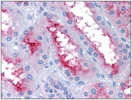
- Submitted by
- OriGene (provider)
- Main image

- Experimental details
- Human Kidney: Formalin-Fixed, Paraffin-Embedded (FFPE)
- Validation comment
- IHC