Antibody data
- Antibody Data
- Antigen structure
- References [1]
- Comments [0]
- Validations
- Immunohistochemistry [1]
Submit
Validation data
Reference
Comment
Report error
- Product number
- A03444-2 - Provider product page

- Provider
- Boster Biological Technology
- Product name
- Anti-ApoER2/LRP8 Antibody Picoband™
- Antibody type
- Polyclonal
- Description
- Rabbit IgG polyclonal antibody for ApoER2/LRP8 detection. Tested with WB, IHC-P, ICC/IF, FCM, Direct ELISA in Human;Mouse;Rat.
- Reactivity
- Human, Mouse, Rat
- Host
- Rabbit
- Vial size
- 100μg/vial
- Concentration
- Add 0.2ml of distilled water will yield a concentration of 500ug/ml.
- Storage
- At -20°C for one year. After reconstitution, at 4°C for one month. It can also be aliquoted and stored frozen at -20°C for a longer time. Avoid repeated freezing and thawing.
- Handling
- Add 0.2ml of distilled water will yield a concentration of 500ug/ml.
Submitted references Effects of maternal and dietary selenium (Se-enriched yeast) on the expression of Sel P and apoER2 of germ cells of their offspring in goats.
Wang Q, Shi L, Ren Y, Yue W, Zhang C, Lei F
Animal reproduction science 2012 Nov;135(1-4):31-6
Animal reproduction science 2012 Nov;135(1-4):31-6
No comments: Submit comment
Supportive validation
- Submitted by
- Boster Biological Technology (provider)
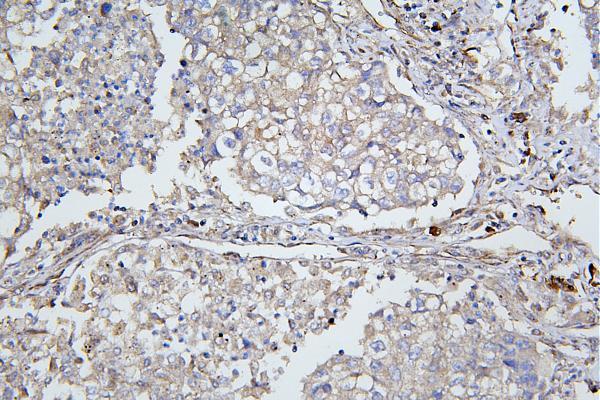
- Main image

- Experimental details
- IHC analysis of ApoER2/LRP8 using anti-ApoER2/LRP8 antibody (A03444-2). ApoER2/LRP8 was detected in paraffin-embedded section of human lung cancer tissue. Heat mediated antigen retrieval was performed in EDTA buffer (pH8.0, epitope retrieval solution). The tissue section was blocked with 10% goat serum. The tissue section was then incubated with 1μg/ml rabbit anti-ApoER2/LRP8 Antibody (A03444-2) overnight at 4°C. Biotinylated goat anti-rabbit IgG was used as secondary antibody and incubated for 30 minutes at 37°C. The tissue section was developed using Strepavidin-Biotin-Complex (SABC) (Catalog # SA1022) with DAB as the chromogen.
- Additional image
