Antibody data
- Antibody Data
- Antigen structure
- References [0]
- Comments [0]
- Validations
- Immunohistochemistry [1]
Submit
Validation data
Reference
Comment
Report error
- Product number
- GTX79468 - Provider product page

- Provider
- GeneTex
- Proper citation
- GeneTex Cat#GTX79468, RRID:AB_11173805
- Product name
- RANBP2 antibody [2E1]
- Antibody type
- Monoclonal
- Reactivity
- Human
- Host
- Mouse
No comments: Submit comment
Supportive validation
- Submitted by
- GeneTex (provider)
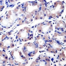
- Main image

- Experimental details
- IHC-P analysis of human stomach tissue using RanBP2 antibody [2E1] at a dilution of 1:100. To expose target proteins, heat induced antigen retrieval was performed using 10mM sodium citrate (pH6.0) buffer, microwaved for 8-15 minutes.