Antibody data
- Antibody Data
- Antigen structure
- References [0]
- Comments [0]
- Validations
- Western blot [1]
- Immunohistochemistry [1]
Submit
Validation data
Reference
Comment
Report error
- Product number
- AF5149 - Provider product page 
- Provider
- R&D Systems
- Product name
- Human/Mouse ADAMTS15 Antibody
- Antibody type
- Polyclonal
- Description
- Immunogen affinity purified. Detects human and mouse ADAMTS15 in direct ELISAs and Western blots. In direct ELISAs, less than 1% cross-reactivity with recombinant human ADAMTS1, L1.2, L2, 3, 4, 5, 8, 10, 12, 13, and 16 is observed.
- Reactivity
- Human, Mouse
- Host
- Sheep
- Conjugate
- Unconjugated
- Antigen sequence
- Q8TE58
- Isotype
- IgG
- Vial size
- 100 ug
- Concentration
- LYOPH
- Storage
- Use a manual defrost freezer and avoid repeated freeze-thaw cycles. 12 months from date of receipt, -20 to -70 °C as supplied. 1 month, 2 to 8 °C under sterile conditions after reconstitution. 6 months, -20 to -70 °C under sterile conditions after reconstitution.
				No comments: Submit comment	
	
			
							
					Supportive validation
					
									
				
				- Submitted by
- R&D Systems (provider)
- Main image
 
- Experimental details
- Detection of Human and Mouse ADAMTS15 by Western Blot. Western blot shows lysates of HEK293 human embryonic kidney cell line, BG01V human embryonic stem cells, and mouse embryo tissue. PVDF Membrane was probed with 1 µg/mL of Human/Mouse ADAMTS15 Antigen Affinity-purified Polyclonal Antibody (Catalog # AF5149) followed by HRP-conjugated Anti-Sheep IgG Secondary Antibody (Catalog # HAF016). A specific band was detected for ADAMTS15 at approximately 75 kDa (as indicated). This experiment was conducted under reducing conditions and using Immunoblot Buffer Group 8.
							
					Supportive validation
					
									
				
		- Submitted by
- R&D Systems (provider)
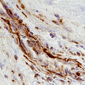
- Main image
 
- Experimental details
- ADAMTS15 in Human Breast Cancer Tissue. ADAMTS15 was detected in immersion fixed paraffin-embedded sections of human breast cancer tissue using Human/Mouse ADAMTS15 Antigen Affinity-purified Polyclonal Antibody (Catalog # AF5149) at 3 µg/mL overnight at 4 °C. Before incubation with the primary antibody, tissue was subjected to heat-induced epitope retrieval using Antigen Retrieval Reagent-Basic (Catalog # CTS013). Tissue was stained using the Anti-Sheep HRP-DAB Cell & Tissue Staining Kit (brown; Catalog # CTS019) and counterstained with hemotoxylin (blue). Specific staining was localized to stromal cells. View our protocol for Chromogenic IHC Staining of Paraffin-embedded Tissue Sections.