Antibody data
- Antibody Data
- Antigen structure
- References [0]
- Comments [0]
- Validations
- Immunohistochemistry [5]
Submit
Validation data
Reference
Comment
Report error
- Product number
- PA5-56526 - Provider product page

- Provider
- Invitrogen Antibodies
- Product name
- Sbk2 Polyclonal Antibody
- Antibody type
- Polyclonal
- Antigen
- Recombinant full-length protein
- Description
- Immunogen sequence: PENVLVCDPA CRRFKLTDFG HTRPRGTLLR LAGPPIPYTA PELCAPPPLP EGLPIQPALD AWALGVLLFC LLTGYFPWDR PLAEADPFYE DFLIWQASGQ PRDRPQPWFG LAPAADALLR GLLDPHPRRR SAVIAIWEHL Highest antigen sequence identity to the following orthologs: Mouse - 84%, Rat - 84%.
- Reactivity
- Human
- Host
- Rabbit
- Isotype
- IgG
- Vial size
- 100 μL
- Concentration
- 0.1 mg/mL
- Storage
- Store at 4°C short term. For long term storage, store at -20°C, avoiding freeze/thaw cycles.
No comments: Submit comment
Supportive validation
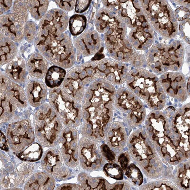
- Submitted by
- Invitrogen Antibodies (provider)
- Main image

- Experimental details
- Immunohistochemical analysis of Sbk2 in human kidney using Sbk2 Polyclonal Antibody (Product # PA5-56526) shows strong cytoplasmic and membranous positivity in cells in tubules.
- Submitted by
- Invitrogen Antibodies (provider)
- Main image

- Experimental details
- Immunohistochemical analysis of Sbk2 in human skeletal muscle using Sbk2 Polyclonal Antibody (Product # PA5-56526) shows moderate cytoplasmic positivity in myocytes.
- Submitted by
- Invitrogen Antibodies (provider)
- Main image

- Experimental details
- Immunohistochemical staining of Sbk2 in human heart muscle using Sbk2 Polyclonal Antibody (Product # PA5-56526) shows distinct cytoplasmic positivity in myocytes.
- Submitted by
- Invitrogen Antibodies (provider)
- Main image

- Experimental details
- Immunohistochemical analysis of Sbk2 in human heart muscle using Sbk2 Polyclonal Antibody (Product # PA5-56526) shows strong cytoplasmic positivity in cardiomyocytes.
- Submitted by
- Invitrogen Antibodies (provider)
- Main image

- Experimental details
- Immunohistochemical analysis of Sbk2 in human tonsil using Sbk2 Polyclonal Antibody (Product # PA5-56526) shows no positivity in non-germinal center cells as expected.