Antibody data
- Antibody Data
- Antigen structure
- References [0]
- Comments [0]
- Validations
- Western blot [1]
- Immunohistochemistry [4]
Submit
Validation data
Reference
Comment
Report error
- Product number
- LS-C830811 - Provider product page

- Provider
- LSBio
- Product name
- FUCA2 Antibody LS-C830811
- Antibody type
- Polyclonal
- Description
- Antigen Affinity purification
- Reactivity
- Human, Mouse, Rat
- Host
- Rabbit
- Isotype
- IgG
- Storage
- Store at -20°C. Avoid freeze-thaw cycles.
No comments: Submit comment
Enhanced validation
- Submitted by
- LSBio (provider)
- Enhanced method
- Genetic validation
- Main image

- Experimental details
- Western blot analysis of Mouse heart tissue lysate using FUCA2 Polyclonal Antibody at dilution of 1:1000
Supportive validation
- Submitted by
- LSBio (provider)
- Enhanced method
- Genetic validation
- Main image

- Experimental details
- Immunohistochemistry of paraffin-embedded Human tonsil tissue using FUCA2 Polyclonal Antibody at dilution of 1:70(×200)
- Submitted by
- LSBio (provider)
- Enhanced method
- Genetic validation
- Main image

- Experimental details
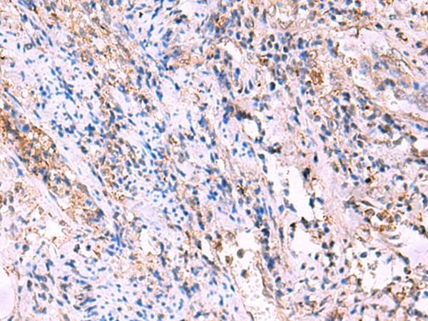
- Immunohistochemistry of paraffin-embedded Human cervical cancer tissue using FUCA2 Polyclonal Antibody at dilution of 1:70(×200)
- Submitted by
- LSBio (provider)
- Enhanced method
- Genetic validation
- Main image

- Experimental details
- Immunohistochemistry of paraffin-embedded Human cervical cancer tissue using FUCA2 Polyclonal Antibody at dilution of 1:70(×200)
- Submitted by
- LSBio (provider)
- Enhanced method
- Genetic validation
- Main image

- Experimental details
- Immunohistochemistry of paraffin-embedded Human cervical cancer tissue using FUCA2 Polyclonal Antibody at dilution of 1:70(×200)