Antibody data
- Antibody Data
- Antigen structure
- References [0]
- Comments [0]
- Validations
- Western blot [1]
Submit
Validation data
Reference
Comment
Report error
- Product number
- NBP1-78197 - Provider product page

- Provider
- Novus Biologicals
- Proper citation
- Novus Cat#NBP1-78197, RRID:AB_11038884
- Product name
- Rabbit Polyclonal ZNF787 Antibody
- Antibody type
- Polyclonal
- Description
- Immunogen affinity purified.
- Reactivity
- Human, Mouse
- Host
- Rabbit
- Isotype
- IgG
- Vial size
- 0.1 ml
- Concentration
- 0.2 mg/ml
- Storage
- Store at 4C. Do not freeze.
No comments: Submit comment
Supportive validation
- Submitted by
- Novus Biologicals (provider)
- Main image

- Experimental details
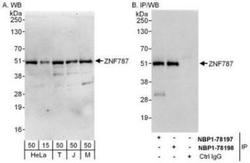
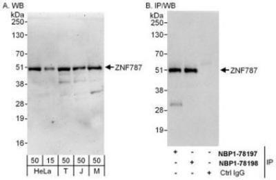
- Western Blot: ZNF787 Antibody [NBP1-78197] - Whole cell lysate from HeLa (15 and 50 mcg for WB; 1 mg for IP, 20% of IP loaded), 293T (T; 50 mcg), Jurkat (J; 50 mcg) and mouse NIH3T3 (M; 50 mcg) cells. Antibodies: Affinity purified rabbit anti-ZNF787 antibody used for WB at 0.04 mcg/ml (A) and 1 mcg/ml (B) and used for IP at 6 mcg/mg lysate. ZNF787 was also immunoprecipitated by rabbit anti-ZNF787 antibodyNBP1-78198, which recognizes a downstream epitope.