Antibody data
- Antibody Data
- Antigen structure
- References [0]
- Comments [0]
- Validations
- Western blot [1]
- Immunohistochemistry [1]
Submit
Validation data
Reference
Comment
Report error
- Product number
- TA810549 - Provider product page

- Provider
- OriGene
- Product name
- ZNF583 mouse monoclonal antibody,clone OTI4D2
- Antibody type
- Monoclonal
- Description
- ZNF583 mouse monoclonal antibody,clone OTI4D2
- Host
- Mouse
- Conjugate
- Unconjugated
- Epitope
- ZNF583
- Isotype
- IgG
- Antibody clone number
- OTI4D2
- Vial size
- 100 µl
- Concentration
- 1.00mg/ml
No comments: Submit comment
Supportive validation
- Submitted by
- OriGene (provider)
- Main image

- Experimental details
- HEK293T cells were transfected with the pCMV6-ENTRY control (Left lane) or pCMV6-ENTRY ZNF583 (RC212284, Right lane) cDNA for 48 hrs and lysed. Equivalent amounts of cell lysates (5 ug per lane) were separated by SDS-PAGE and immunoblotted with anti-ZNF583.(1:2000)
- Validation comment
- WB
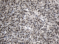
Supportive validation
- Submitted by
- OriGene (provider)
- Main image

- Experimental details
- Immunohistochemical staining of paraffin-embedded Carcinoma of Human kidney tissue using anti-ZNF583 mouse monoclonal antibody.(Heat-induced epitope retrieval by 1mM EDTA in 10mM Tris buffer (pH8.5) at 120°C for 3 min, TA810549)(1:150)
- Validation comment
- IHC