Antibody data
- Antibody Data
- Antigen structure
- References [0]
- Comments [0]
- Validations
- Western blot [1]
- Immunohistochemistry [1]
- Flow cytometry [1]
Submit
Validation data
Reference
Comment
Report error
- Product number
- NBP2-67199 - Provider product page

- Provider
- Novus Biologicals
- Product name
- Rabbit Monoclonal Thymidine Kinase 1 Antibody
- Antibody type
- Monoclonal
- Description
- Protein A purified.
- Reactivity
- Human, Mouse
- Host
- Rabbit
- Isotype
- IgG
- Vial size
- 100 ul
- Storage
- Store at 4C short term. Aliquot and store at -20C long term. Avoid freeze-thaw cycles.
No comments: Submit comment
Supportive validation
- Submitted by
- Novus Biologicals (provider)
- Main image

- Experimental details
- Western Blot: Thymidine Kinase 1 Antibody (JF0970) [NBP2-67199] - Analysis of Thymidine Kinase 1 on different lysates using anti-Thymidine Kinase 1 antibody at 1/1,000 dilution. Positive control: Lane 1: 293T Lane 2: Hela
Supportive validation
- Submitted by
- Novus Biologicals (provider)
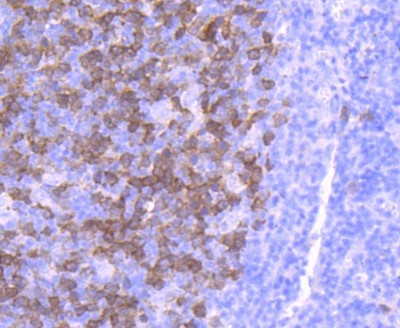
- Main image

- Experimental details
- Immunohistochemistry-Paraffin: Thymidine Kinase 1 Antibody (JF0970) [NBP2-67199] - Analysis of paraffin-embedded human tonsil tissue using anti-Thymidine Kinase 1 antibody. Counter stained with hematoxylin.
Supportive validation
- Submitted by
- Novus Biologicals (provider)
- Main image

- Experimental details
- Flow Cytometry: Thymidine Kinase 1 Antibody (JF0970) [NBP2-67199] - Analysis of Hela cells with Thymidine Kinase 1 antibody at 1/50 dilution (red) compared with an unlabelled control (cells without incubation with primary antibody; black). Alexa Fluor 488-conjugated goat anti rabbit IgG was used as the secondary antibody