Antibody data
- Antibody Data
- Antigen structure
- References [0]
- Comments [0]
- Validations
- Immunocytochemistry [1]
- Immunohistochemistry [1]
Submit
Validation data
Reference
Comment
Report error
- Product number
- PAB22236 - Provider product page

- Provider
- Abnova Corporation
- Proper citation
- Abnova Corporation Cat#PAB22236, RRID:AB_10967431
- Product name
- ZNF470 polyclonal antibody
- Antibody type
- Polyclonal
- Description
- Rabbit polyclonal antibody raised against recombinant ZNF470.
- Antigen sequence
KDPWVIKGGMNRGLCPDLECVWVTKSLSLNQDIYE
EKLPPAIIMERLKSYDLECSTLGKNWKCEDLFE- Isotype
- IgG
- Storage
- Store at 4°C. For long term storage store at -20°C.Aliquot to avoid repeated freezing and thawing.
No comments: Submit comment
Supportive validation
- Submitted by
- Abnova Corporation (provider)
- Main image

- Experimental details
- Immunofluorescent staining of human cell line U-2 OS with ZNF470 polyclonal antibody (Cat # PAB22236) at 1-4 ug/mL dilution shows positivity in nucleus but not nucleoli.
- Validation comment
- Immunofluorescence
Supportive validation
- Submitted by
- Abnova Corporation (provider)
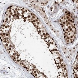
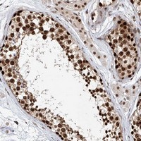
- Main image

- Experimental details
- Immunohistochemical staining of human testis with ZNF470 polyclonal antibody (Cat # PAB22236) shows strong nuclear positivity in cells of seminiferus ducts at 1:200-1:500 dilution.
- Validation comment
- Immunohistochemistry (Formalin/PFA-fixed paraffin-embedded sections)