Antibody data
- Antibody Data
- Antigen structure
- References [0]
- Comments [0]
- Validations
- Western blot [1]
- Immunohistochemistry [6]
Submit
Validation data
Reference
Comment
Report error
- Product number
- LS-C781852 - Provider product page

- Provider
- LSBio
- Product name
- CA3 / Carbonic Anhydrase III Antibody LS-C781852
- Antibody type
- Polyclonal
- Description
- Antigen Affinity purification
- Reactivity
- Human, Mouse, Rat
- Host
- Rabbit
- Isotype
- IgG
- Storage
- After reconstitution, store at 4°C for up to 1 month. Long-term: aliquot and store at -20°C. Avoid freeze-thaws cycles.
No comments: Submit comment
Enhanced validation
- Submitted by
- LSBio (provider)
- Enhanced method
- Genetic validation
- Main image

- Experimental details
- Western blot testing of 1) rat muscle and 2) mouse muscle with CA3 antibody at 0.5ug/ml. Predicted/observed molecular weight ~29 kDa.
Supportive validation
- Submitted by
- LSBio (provider)
- Enhanced method
- Genetic validation
- Main image

- Experimental details
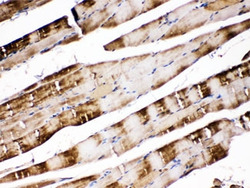
- IHC testing of FFPE mouse skeletal muscle with CA3 antibody at 1ug/ml. HIER: steam section in pH6 citrate buffer for 20 min.
- Submitted by
- LSBio (provider)
- Enhanced method
- Genetic validation
- Main image

- Experimental details
- IHC testing of FFPE rat skeletal muscle with CA3 antibody at 1ug/ml. HIER: steam section in pH6 citrate buffer for 20 min.
- Submitted by
- LSBio (provider)
- Enhanced method
- Genetic validation
- Main image

- Experimental details
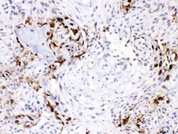
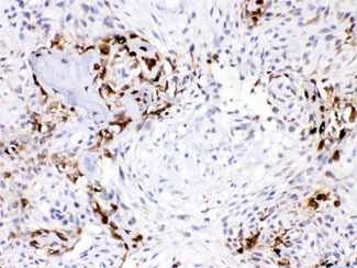
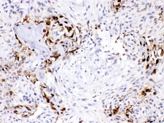
- IHC testing of FFPE human osteosarcoma with CA3 antibody at 1ug/ml. HIER: steam section in pH6 citrate buffer for 20 min.
- Submitted by
- LSBio (provider)
- Main image

- Experimental details
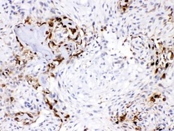
- IHC testing of FFPE human osteosarcoma with CA3 antibody at 1ug/ml. HIER: steam section in pH6 citrate buffer for 20 min.
- Submitted by
- LSBio (provider)
- Main image

- Experimental details
- IHC testing of FFPE mouse skeletal muscle with CA3 antibody at 1ug/ml. HIER: steam section in pH6 citrate buffer for 20 min.
- Submitted by
- LSBio (provider)
- Main image

- Experimental details
- IHC testing of FFPE rat skeletal muscle with CA3 antibody at 1ug/ml. HIER: steam section in pH6 citrate buffer for 20 min.