Antibody data
- Antibody Data
- Antigen structure
- References [0]
- Comments [0]
- Validations
- Western blot [1]
- Immunocytochemistry [1]
- Immunohistochemistry [1]
Submit
Validation data
Reference
Comment
Report error
- Product number
- GTX119240 - Provider product page

- Provider
- GeneTex
- Proper citation
- GeneTex Cat#GTX119240, RRID:AB_10617728
- Product name
- ZNF587 antibody
- Antibody type
- Polyclonal
- Reactivity
- Human
- Host
- Rabbit
No comments: Submit comment
Supportive validation
- Submitted by
- GeneTex (provider)
- Main image

- Experimental details
- Sample (30 ug of whole cell lysate) A: Jurkat7.5% SDS PAGE GTX119240 diluted at 1:1000
Supportive validation
- Submitted by
- GeneTex (provider)
- Main image

- Experimental details
- Immunofluorescence analysis of paraformaldehyde-fixed A431, using ZNF587(GTX119240) antibody at 1:500 dilution.
Supportive validation
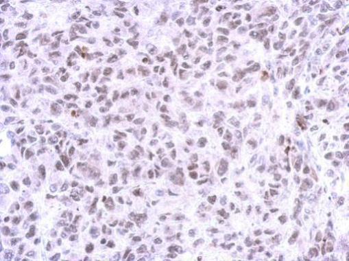
- Submitted by
- GeneTex (provider)
- Main image

- Experimental details
- Immunohistochemical analysis of paraffin-embedded SkHep1 xenograft, using ZNF587(GTX119240) antibody at 1:500 dilution.