Antibody data
- Antibody Data
- Antigen structure
- References [0]
- Comments [0]
- Validations
- Western blot [2]
- Immunocytochemistry [1]
- Immunohistochemistry [4]
Submit
Validation data
Reference
Comment
Report error
- Product number
- PA5-21848 - Provider product page

- Provider
- Invitrogen Antibodies
- Product name
- Anti-PIK3R4 Polyclonal Antibody
- Antibody type
- Polyclonal
- Antigen
- Recombinant protein fragment
- Description
- PA5-21848 targets p150(PIK3R4) in ICC, IF, IHC (P), and WB applications and shows reactivity with Human and mouse samples. The PA5-21848 immunogen is a recombinant fragment corresponding to a region within amino acids 1 and 381 of PIK3R4 (Uniprot ID#Q99570).
- Reactivity
- Human, Mouse
- Host
- Rabbit
- Isotype
- IgG
- Vial size
- 100 µL
- Concentration
- 0.8 mg/ml
- Storage
- -20° C, Avoid Freeze/Thaw Cycles
No comments: Submit comment
Supportive validation
- Submitted by
- Invitrogen Antibodies (provider)
- Main image

- Experimental details
- Western blot analysis of p150 (PIK3R4) using 50µg of mouse liver lysate. Samples were loaded onto a 5% SDS-PAGE gel and probed with a p150 (PIK3R4) polyclonal antibody (Product # PA5-21848) at a dilution of 1:500.
- Submitted by
- Invitrogen Antibodies (provider)
- Main image

- Experimental details
- Western blot analysis of p150 (PIK3R4) using 30µg of A431 lysate. Samples were loaded onto a 5% SDS-PAGE gel and probed with a p150 (PIK3R4) polyclonal antibody (Product # PA5-21848) at a dilution of 1:1000.
Supportive validation
- Submitted by
- Invitrogen Antibodies (provider)
- Main image

- Experimental details
- Immunofluorescent analysis of p150(PIK3R4) in paraformaldehyde-fixed HeLa cells using a p150(PIK3R4) polyclonal antibody (Product # PA5-21848) at a 1:200 dilution.
Supportive validation
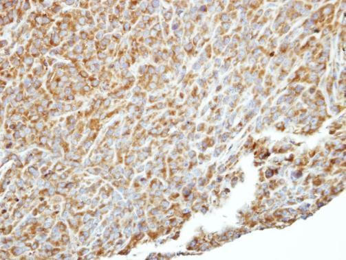
- Submitted by
- Invitrogen Antibodies (provider)
- Main image

- Experimental details
- Immunohistochemical analysis of p150 (PIK3R4) in paraffin-embedded SAS xenograft using a p150 (PIK3R4) polyclonal antibody (Product # PA5-21848) at a dilution of 1:500.
- Submitted by
- Invitrogen Antibodies (provider)
- Main image

- Experimental details
- Immunohistochemical analysis of p150 (PIK3R4) in the cytosol of paraffin-embedded mouse fore brain tissue using a p150 (PIK3R4) polyclonal antibody (Product # PA5-21848) at a dilution of 1:500.
- Submitted by
- Invitrogen Antibodies (provider)
- Main image

- Experimental details
- Immunohistochemical analysis of p150 (PIK3R4) in the cytosol of paraffin-embedded mouse testis tissue using a p150 (PIK3R4) polyclonal antibody (Product # PA5-21848) at a dilution of 1:500.
- Submitted by
- Invitrogen Antibodies (provider)
- Main image

- Experimental details
- Immunohistochemical analysis of p150 (PIK3R4) in the cytosol of paraffin-embedded rat hind brain tissue using a p150 (PIK3R4) polyclonal antibody (Product # PA5-21848) at a dilution of 1:500.