Antibody data
- Antibody Data
- Antigen structure
- References [0]
- Comments [0]
- Validations
- Immunocytochemistry [1]
- Immunohistochemistry [3]
Submit
Validation data
Reference
Comment
Report error
- Product number
- PA5-62842 - Provider product page

- Provider
- Invitrogen Antibodies
- Product name
- TMEM37 Polyclonal Antibody
- Antibody type
- Polyclonal
- Antigen
- Recombinant protein fragment
- Description
- Immunogen sequence: LMVSQLCEDK HSQCKWVMGS Highest antigen sequence identity to the following orthologs: Mouse - 60%, Rat - 60%.
- Reactivity
- Human
- Host
- Rabbit
- Isotype
- IgG
- Vial size
- 100 μL
- Concentration
- 0.1 mg/mL
- Storage
- Store at 4°C short term. For long term storage, store at -20°C, avoiding freeze/thaw cycles.
No comments: Submit comment
Supportive validation
- Submitted by
- Invitrogen Antibodies (provider)
- Main image

- Experimental details
- Immunofluorecent analysis of TMEM37 in human cell line Hep G2 using TMEM37 Polyclonal Antibody (Product # PA5-62842). Staining shows localization to nucleus, nucleoli fibrillar center and cytosol.
Supportive validation
- Submitted by
- Invitrogen Antibodies (provider)
- Main image

- Experimental details
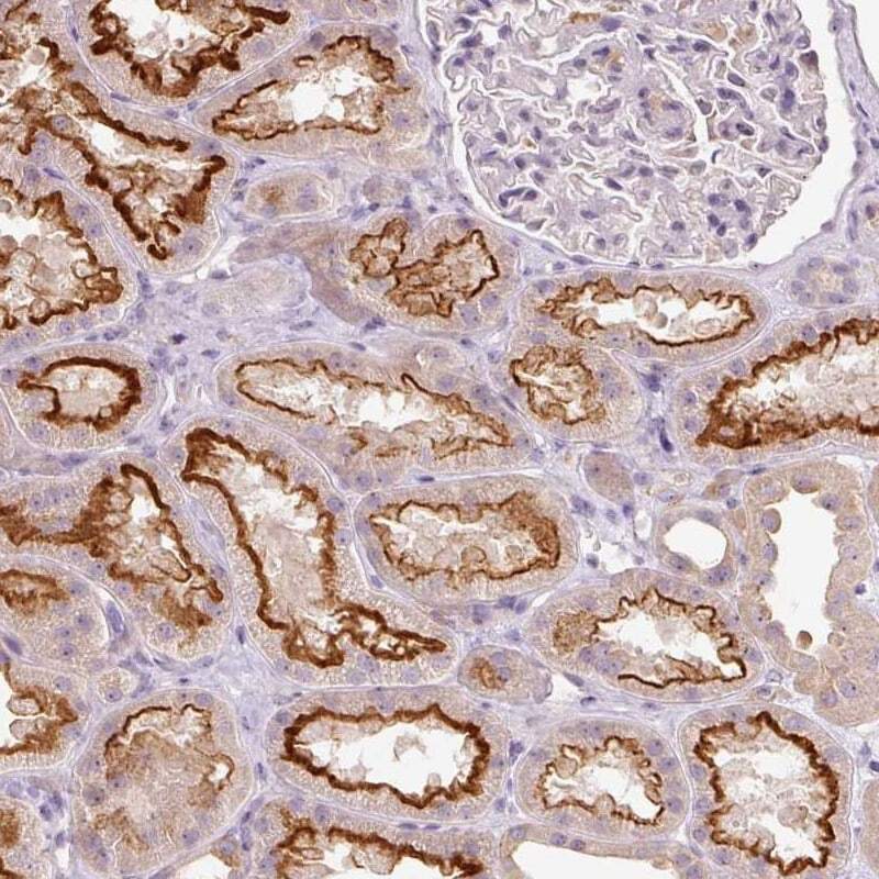
- Immunohistochemical analysis of TMEM37 in human kidney using TMEM37 Polyclonal Antibody (Product # PA5-62842) shows high expression.
- Submitted by
- Invitrogen Antibodies (provider)
- Main image

- Experimental details
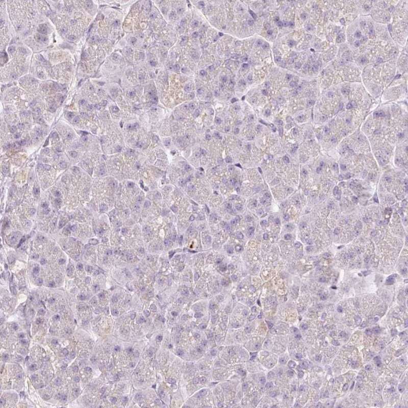
- Immunohistochemical staining of TMEM37 in human kidney and pancreas tissues using TMEM37 Polyclonal Antibody (Product # PA5-62842). Corresponding TMEM37 RNA-seq data are presented for the same tissues.
- Submitted by
- Invitrogen Antibodies (provider)
- Main image

- Experimental details
- Immunohistochemical staining of TMEM37 in human pancreas using TMEM37 Polyclonal Antibody (Product # PA5-62842) shows low expression as expected.