Antibody data
- Antibody Data
 - Antigen structure
 - References [0]
 - Comments [0]
 - Validations
 - Western blot [1]
 - Immunohistochemistry [4]
 
Submit
Validation data
Reference
Comment
Report error
- Product number
 - LS-C748623 - Provider product page

 - Provider
 - LSBio
 - Product name
 - AKR1A1 Antibody LS-C748623
 - Antibody type
 - Polyclonal
 - Description
 - Affinity purified
 - Reactivity
 - Human, Mouse, Rat
 - Host
 - Rabbit
 - Isotype
 - IgG
 - Storage
 - Store at -20°C. Avoid freeze-thaw cycles.
 
				No comments: Submit comment	
	
			
							
					Enhanced validation
					
									
				
				- Submitted by
 - LSBio (provider)
 - Enhanced method
 - Genetic validation
 - Main image
 
- Experimental details
 - Western blot analysis of extracts of various cell lines, using AKR1A1 antibody at 1:1000 dilution. The secondary antibody used was an HRP Goat Anti-Rabbit IgG (H+L) at 1:10000 dilution. Lysates were loaded 25ug per lane and 3% nonfat dry milk in TBST was used for blocking.
 
							
					Enhanced validation
					
									
				
		- Submitted by
 - LSBio (provider)
 - Enhanced method
 - Genetic validation
 - Main image
 
- Experimental details
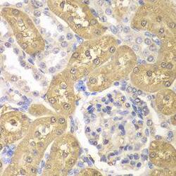
 - Immunohistochemistry of paraffin-embedded rat kidney using AKR1A1 antibody at dilution of 1:100 (40x lens).
 
- Submitted by
 - LSBio (provider)
 - Enhanced method
 - Genetic validation
 - Main image
 
- Experimental details
 - Immunohistochemistry of paraffin-embedded mouse kidney using AKR1A1 antibody at dilution of 1:100 (40x lens).
 
- Submitted by
 - LSBio (provider)
 - Main image
 
- Experimental details
 - Immunohistochemistry of paraffin-embedded rat kidney using AKR1A1 antibody at dilution of 1:100 (40x lens).
 
- Submitted by
 - LSBio (provider)
 - Main image
 
- Experimental details
 - Immunohistochemistry of paraffin-embedded mouse kidney using AKR1A1 antibody at dilution of 1:100 (40x lens).