Antibody data
- Antibody Data
- Antigen structure
- References [1]
- Comments [0]
- Validations
- Western blot [1]
- ELISA [1]
- Immunoprecipitation [1]
- Immunohistochemistry [1]
Submit
Validation data
Reference
Comment
Report error
- Product number
- H00005899-M04 - Provider product page

- Provider
- Abnova Corporation
- Proper citation
- Abnova Corporation Cat#H00005899-M04, RRID:AB_606908
- Product name
- RALB monoclonal antibody (M04), clone 4D1
- Antibody type
- Monoclonal
- Description
- Mouse monoclonal antibody raised against a partial recombinant RALB.
- Antigen sequence
FLLVFSITEHESFTATAEFREQILRVKAEEDKIPL
LVVGNKSDLEERRQVPVEEARSKAEEWGVQYVETS
AKTRANVDKVFFDLMREIRTKKMSE- Isotype
- IgG
- Antibody clone number
- 4D1
- Storage
- Store at -20°C or lower. Aliquot to avoid repeated freezing and thawing.
Submitted references The Mycobacterium bovis bacille Calmette-Guerin phagosome proteome.
Lee BY, Jethwaney D, Schilling B, Clemens DL, Gibson BW, Horwitz MA
Molecular & cellular proteomics : MCP 2010 Jan;9(1):32-53
Molecular & cellular proteomics : MCP 2010 Jan;9(1):32-53
No comments: Submit comment
Supportive validation
- Submitted by
- Abnova Corporation (provider)
- Main image

- Experimental details
- Western Blot analysis of RALB expression in transfected 293T cell line by RALB monoclonal antibody (M04), clone 4D1.Lane 1: RALB transfected lysate(23.4 KDa).Lane 2: Non-transfected lysate.
Supportive validation
- Submitted by
- Abnova Corporation (provider)
- Main image

- Experimental details
- Detection limit for recombinant GST tagged RALB is approximately 0.3ng/ml as a capture antibody.
- Validation comment
- Sandwich ELISA (Recombinant protein)
- Protocol
- Protocol
Supportive validation
- Submitted by
- Abnova Corporation (provider)
- Main image

- Experimental details
- Immunoprecipitation of RALB transfected lysate using anti-RALB monoclonal antibody and Protein A Magnetic Bead (U0007), and immunoblotted with RALB MaxPab rabbit polyclonal antibody.
- Validation comment
- Immunoprecipitation
- Protocol
- Protocol
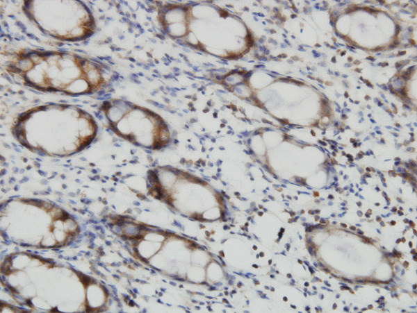
Supportive validation
- Submitted by
- Abnova Corporation (provider)
- Main image

- Experimental details
- Immunoperoxidase of monoclonal antibody to RALB on formalin-fixed paraffin-embedded human colon. [antibody concentration 3 ug/ml]
- Validation comment
- Immunohistochemistry (Formalin/PFA-fixed paraffin-embedded sections)
- Protocol
- Protocol