Antibody data
- Antibody Data
- Antigen structure
- References [0]
- Comments [0]
- Validations
- Western blot [3]
- ELISA [2]
- Immunohistochemistry [2]
Submit
Validation data
Reference
Comment
Report error
- Product number
- NBP2-61831 - Provider product page

- Provider
- Novus Biologicals
- Product name
- Mouse Monoclonal RalB Antibody
- Antibody type
- Monoclonal
- Description
- Protein G purified.
- Reactivity
- Human, Mouse, Simian
- Host
- Mouse
- Isotype
- IgG
- Vial size
- 0.1 ml
- Storage
- Store at 4C short term. Aliquot and store at -20C long term. Avoid freeze-thaw cycles.
No comments: Submit comment
Supportive validation
- Submitted by
- Novus Biologicals (provider)
- Main image

- Experimental details
- Western Blot: RalB Antibody (7F8B4) [NBP2-61831] - Analysis using RALB mAb against human RALB (AA: 89-206) recombinant protein. (Expected MW is 39.7 kDa)
- Submitted by
- Novus Biologicals (provider)
- Main image

- Experimental details
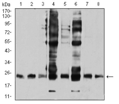
- Western Blot: RalB Antibody (7F8B4) [NBP2-61831] - Analysis using RALB mouse mAb against HepG2 (1), COS7 (2), NIH/3T3 (3), A549 (4), U251 (5), HT-29 (6), HEK293 (7), and LOVO (8) cell lysate.
- Submitted by
- Novus Biologicals (provider)
- Main image

- Experimental details
- Western Blot: RalB Antibody (7F8B4) [NBP2-61831] - Analysis using RALB mAb against HEK293 (1) and RALB (AA: 89-206)-hIgGFc transfected HEK293 (2) cell lysate.
Supportive validation
- Submitted by
- Novus Biologicals (provider)
- Main image

- Experimental details
- ELISA: RalB Antibody (7F8B4) [NBP2-61831] - Black line: Control Antigen (100 ng);Purple line: Antigen (10ng); Blue line: Antigen (50 ng); Red line:Antigen (100 ng)
- Submitted by
- Novus Biologicals (provider)
- Main image

- Experimental details
- ELISA: RalB Antibody (7F8B4) [NBP2-61831] - Analysis of Hela cells using RALB mouse mAb (green) and negative control (red).
Supportive validation
- Submitted by
- Novus Biologicals (provider)
- Main image

- Experimental details
- Immunohistochemistry: RalB Antibody (7F8B4) [NBP2-61831] - Analysis of paraffin-embedded cervical cancer tissues using RALB mouse mAb with DAB staining.
- Submitted by
- Novus Biologicals (provider)
- Main image

- Experimental details
- Immunohistochemistry: RalB Antibody (7F8B4) [NBP2-61831] - Analysis of paraffin-embedded bladder cancer tissues using RALB mouse mAb with DAB staining.