Antibody data
- Antibody Data
- Antigen structure
- References [1]
- Comments [0]
- Validations
- Western blot [3]
- Immunocytochemistry [1]
- Immunohistochemistry [6]
- Other assay [1]
Submit
Validation data
Reference
Comment
Report error
- Product number
- UM500063 - Provider product page

- Provider
- OriGene
- Proper citation
- OriGene Cat#UM500063, RRID:AB_2629076
- Product name
- VBP1 mouse monoclonal antibody,clone UMAB75
- Antibody type
- Monoclonal
- Description
- VBP1 mouse monoclonal antibody,clone UMAB75
- Host
- Mouse
- Conjugate
- Unconjugated
- Epitope
- VBP1
- Isotype
- IgG
- Antibody clone number
- UMAB75
- Vial size
- 100 µl
- Concentration
- 1.00mg/ml
Submitted references Context-Dependent and Disease-Specific Diversity in Protein Interactions within Stress Granules.
Markmiller S, Soltanieh S, Server KL, Mak R, Jin W, Fang MY, Luo EC, Krach F, Yang D, Sen A, Fulzele A, Wozniak JM, Gonzalez DJ, Kankel MW, Gao FB, Bennett EJ, Lécuyer E, Yeo GW
Cell 2018 Jan 25;172(3):590-604.e13
Cell 2018 Jan 25;172(3):590-604.e13
No comments: Submit comment
Supportive validation
- Submitted by
- OriGene (provider)
- Main image

- Experimental details
- Western Blot analysis of HT-29, BT-549 and MOLT-4 cell lysates (35ug) by using anti-VBP1 monoclonal antibody (Clone UMAB75)
- Validation comment
- WB
- Submitted by
- OriGene (provider)
- Main image

- Experimental details
- Western blot analysis of extracts (10ug) from 10 Human tissue by using anti-VBP1 monoclonal antibody at 1:200 (1: Testis; 2: Omentum; 3: Uterus; 4: Breast; 5: Brain; 6: Liver; 7: Ovary; 8: Thyroid gland; 9: colon;10: spleen).
- Validation comment
- WB
- Submitted by
- OriGene (provider)
- Main image

- Experimental details
- Western blot of mouse tissue lysates (20ug) from Ovary. Primary antibody diluation: 1:500. Secondary antibody dilution: Mouse TrueBlot? Ultra (1:1000).
- Validation comment
- WB
Supportive validation
- Submitted by
- OriGene (provider)
- Main image

- Experimental details
- Immunofluorescent staining of MDA-MB-231 cells using anti-VBP1 mouse monoclonal antibody (UM500063, green, 1:100). Actin filaments were labeled with TRITC-phalloidin (red), and nuclear with DAPI (blue).
- Validation comment
- IF
Supportive validation
- Submitted by
- OriGene (provider)
- Main image

- Experimental details
- Immunohistochemical staining of paraffin-embedded Human breast tissue using anti-VBP1 mouse monoclonal antibody. (UM500063; heat-induced epitope retrieval by 10mM citric buffer, pH6.0, 120C for 3min)
- Validation comment
- IHC
- Submitted by
- OriGene (provider)
- Main image

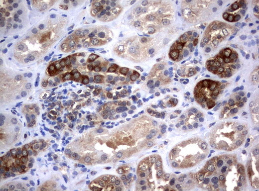
- Experimental details
- Immunohistochemical staining of paraffin-embedded Human Kidney tissue using anti-VBP1 mouse monoclonal antibody. (UM500063; heat-induced epitope retrieval by 10mM citric buffer, pH6.0, 120C for 3min)
- Validation comment
- IHC
- Submitted by
- OriGene (provider)
- Main image

- Experimental details
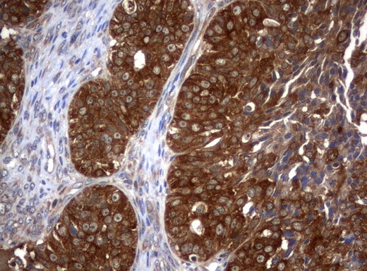
- Immunohistochemical staining of paraffin-embedded Adenocarcinoma of Human ovary tissue using anti-VBP1 mouse monoclonal antibody. (UM500063; heat-induced epitope retrieval by 10mM citric buffer, pH6.0, 120C for 3min)
- Validation comment
- IHC
- Submitted by
- OriGene (provider)
- Main image

- Experimental details
- Immunohistochemical staining of paraffin-embedded Adenocarcinoma of Human endometrium tissue using anti-VBP1 mouse monoclonal antibody. (UM500063; heat-induced epitope retrieval by 10mM citric buffer, pH6.0, 120C for 3min)
- Validation comment
- IHC
- Submitted by
- OriGene (provider)
- Main image

- Experimental details
- Immunohistochemical staining of paraffin-embedded Carcinoma of Human bladder tissue using anti-VBP1 mouse monoclonal antibody. (UM500063; heat-induced epitope retrieval by 10mM citric buffer, pH6.0, 120C for 3min)
- Validation comment
- IHC
- Submitted by
- OriGene (provider)
- Main image

- Experimental details
- Immunohistochemical staining of paraffin-embedded Adenocarcinoma of Human colon tissue using anti-VBP1 mouse monoclonal antibody. (UM500063; heat-induced epitope retrieval by 10mM citric buffer, pH6.0, 120C for 3min)
- Validation comment
- IHC
Supportive validation
- Submitted by
- OriGene (provider)
- Main image

- Experimental details
- OriGene overexpression protein microarray chip was immunostained with UltraMAB anti-VBP1 mouse monoclonal antibody (UM500063). The positive reactive proteins are highlighted with two red arrows in the enlarged subarray. All the positive controls spotted in this subarray are also labeled for clarification.
- Validation comment
- 10K-CHIP