Antibody data
- Antibody Data
- Antigen structure
- References [22]
- Comments [0]
- Validations
- Western blot [1]
- Immunohistochemistry [2]
Submit
Validation data
Reference
Comment
Report error
- Product number
- 21739-1-AP - Provider product page

- Provider
- Proteintech Group
- Proper citation
- Proteintech Cat#21739-1-AP, RRID:AB_10755305
- Product name
- PI3 Kinase p110 Beta antibody
- Antibody type
- Polyclonal
- Description
- PI3 Kinase p110 Beta antibody (Cat. #21739-1-AP) is a rabbit polyclonal antibody that shows reactivity with human and has been validated for the following applications: IF, IHC,ELISA.
- Reactivity
- Human
- Host
- Rabbit
- Conjugate
- Unconjugated
- Isotype
- IgG
- Vial size
- 20ul, 150ul
Submitted references LL37 promotes angiogenesis: a potential therapeutic strategy for lower limb ischemic diseases.
Galectin-9 promotes colon cancer development by polarizing macrophages toward the M2 phenotype.
Discovery of a potent anticancer agent against pancreatic ductal adenocarcinoma targeting FAK with DFG-out state and JAK/Aurora kinases.
Salidroside sensitizes Triple-negative breast cancer to ferroptosis by SCD1-mediated lipogenesis and NCOA4-mediated ferritinophagy.
TRPV4 drives the progression of leiomyosarcoma by promoting ECM1 generation and co-activating the FAK/PI3K/AKT/GSK3β pathway.
Network Pharmacology-Based Strategy to Explore the Effect and Mechanism of Zhizhu Granule Improving Glucose-Lipid Metabolism in Rats with Metabolic Syndrome.
S100A2 activation promotes interstitial fibrosis in kidneys by FoxO1-mediated epithelial-mesenchymal transition.
Root extract of Hemsleya amabilis Diels suppresses renal cell carcinoma cell growth through inducing apoptosis and G(2)/M phase arrest via PI3K/AKT signaling pathway.
Erxian decoction ameliorates myocardial tissue damage through activating PI3K/AKT signaling pathway in ovariectomized rats.
Cell Sheets Formation Enhances Therapeutic Effects of Human Umbilical Cord Mesenchymal Stem Cells on Spinal Cord Injury.
Taxifolin-loaded cellulose/l-arginine-chitosan hydrogel promoting bone defect repair through osteogenesis and angiogenesis.
PTEN deficiency exposes a requirement for an ARF GTPase module for integrin-dependent invasion in ovarian cancer.
Role of Berberine Thermosensitive Hydrogel in Periodontitis via PI3K/AKT Pathway In Vitro.
TANGO1 interacts with NRTN to promote hepatocellular carcinoma progression by regulating the PI3K/AKT/mTOR signaling pathway.
Knockdown of MEF2D inhibits the development and progression of B-cell acute lymphoblastic leukemia.
ERO1α promotes the proliferation and inhibits apoptosis of colorectal cancer cells by regulating the PI3K/AKT pathway.
Effects of Lycium barbarum polysaccharide on the photoinduced autophagy of retinal pigment epithelium cells.
Mannan-Binding Lectin via Interaction With Cell Surface Calreticulin Promotes Senescence of Activated Hepatic Stellate Cells to Limit Liver Fibrosis Progression.
Legumain affects the PI3K/AKT tumor progression pathway in retinoblastoma.
Determination of WWOX Function in Modulating Cellular Pathways Activated by AP-2α and AP-2γ Transcription Factors in Bladder Cancer.
Silencing of DsbA-L gene impairs the PPARγ agonist function of improving insulin resistance in a high-glucose cell model.
EGFR‑associated pathways involved in traditional Chinese medicine (TCM)‑1‑induced cell growth inhibition, autophagy and apoptosis in prostate cancer.
Yang Y, Wu G, Wang Y, Mao Q, Zhang D, Wu J
Frontiers in pharmacology 2025;16:1587351
Frontiers in pharmacology 2025;16:1587351
Galectin-9 promotes colon cancer development by polarizing macrophages toward the M2 phenotype.
Zhang J, Xu Y, Han X, Gao Y, Wei Z, Sun X
Cancer genetics 2025 Nov;298-299:141-150
Cancer genetics 2025 Nov;298-299:141-150
Discovery of a potent anticancer agent against pancreatic ductal adenocarcinoma targeting FAK with DFG-out state and JAK/Aurora kinases.
Zhang RH, Chen T, Xiong QQ, Wang S, Chen GQ, Zhang WL, Yuan HF, Zhao YL, Liu T, Huang Y, Zhou M, Yang CL, Liao SG, Li YJ
European journal of medicinal chemistry 2025 Jan 15;282:117059
European journal of medicinal chemistry 2025 Jan 15;282:117059
Salidroside sensitizes Triple-negative breast cancer to ferroptosis by SCD1-mediated lipogenesis and NCOA4-mediated ferritinophagy.
Huang G, Cai Y, Ren M, Zhang X, Fu Y, Cheng R, Wang Y, Miao M, Zhu L, Yan T
Journal of advanced research 2025 Aug;74:589-607
Journal of advanced research 2025 Aug;74:589-607
TRPV4 drives the progression of leiomyosarcoma by promoting ECM1 generation and co-activating the FAK/PI3K/AKT/GSK3β pathway.
Zhou Q, You Y, Zhao Y, Xiao S, Song Z, Huang C, Qian J, Lu W, Tong H, Zhang Y, Wang Z, Li W, Zhang C, Guo X, Luo R, Hou Y, Cui J, Lu L, Zhou Y
Cellular oncology (Dordrecht, Netherlands) 2025 Apr;48(2):455-470
Cellular oncology (Dordrecht, Netherlands) 2025 Apr;48(2):455-470
Network Pharmacology-Based Strategy to Explore the Effect and Mechanism of Zhizhu Granule Improving Glucose-Lipid Metabolism in Rats with Metabolic Syndrome.
Wang J, Liu Y, Xiu C, Wang X, Liu Y, Hu Y, Yang J, Lei Y
Diabetes, metabolic syndrome and obesity : targets and therapy 2024;17:3833-3846
Diabetes, metabolic syndrome and obesity : targets and therapy 2024;17:3833-3846
S100A2 activation promotes interstitial fibrosis in kidneys by FoxO1-mediated epithelial-mesenchymal transition.
Yang X, Zheng F, Yan P, Liu X, Chen X, Du X, Zhang Y, Wang P, Chen C, Lu H, Bai Y
Cell biology and toxicology 2024 Oct 9;40(1):86
Cell biology and toxicology 2024 Oct 9;40(1):86
Root extract of Hemsleya amabilis Diels suppresses renal cell carcinoma cell growth through inducing apoptosis and G(2)/M phase arrest via PI3K/AKT signaling pathway.
Li K, You G, Jiang K, Wang R, Li W, Meng Y, Fang Y, Chen W, Zhu G, Song J, Wang W, Su H, Hu B, Sun F, Jia Z, Li C, Zhu J
Journal of ethnopharmacology 2024 Jan 10;318(Pt B):117014
Journal of ethnopharmacology 2024 Jan 10;318(Pt B):117014
Erxian decoction ameliorates myocardial tissue damage through activating PI3K/AKT signaling pathway in ovariectomized rats.
Yang Y, Liu H, Hu J, Ma Y, Li P, Zhang Z, Chen Y
Annals of medicine 2024 Dec;56(1):2411013
Annals of medicine 2024 Dec;56(1):2411013
Cell Sheets Formation Enhances Therapeutic Effects of Human Umbilical Cord Mesenchymal Stem Cells on Spinal Cord Injury.
Zhao Y, Wu Z, Zhou Y, Chen C, Lu Y, Wang H, Xu T, Yang C, Chen X
CNS neuroscience & therapeutics 2024 Dec;30(12):e70163
CNS neuroscience & therapeutics 2024 Dec;30(12):e70163
Taxifolin-loaded cellulose/l-arginine-chitosan hydrogel promoting bone defect repair through osteogenesis and angiogenesis.
Yang J, Han Y, Zhang L, Ding Q, Sun S, Zhang S, Wang Y, Wang N, Wei H, Yu T, Liu W, Ding C
International journal of biological macromolecules 2024 Dec;283(Pt 3):137843
International journal of biological macromolecules 2024 Dec;283(Pt 3):137843
PTEN deficiency exposes a requirement for an ARF GTPase module for integrin-dependent invasion in ovarian cancer.
Nikolatou K, Sandilands E, Román-Fernández A, Cumming EM, Freckmann E, Lilla S, Buetow L, McGarry L, Neilson M, Shaw R, Strachan D, Miller C, Huang DT, McNeish IA, Norman JC, Zanivan S, Bryant DM
The EMBO journal 2023 Sep 18;42(18):e113987
The EMBO journal 2023 Sep 18;42(18):e113987
Role of Berberine Thermosensitive Hydrogel in Periodontitis via PI3K/AKT Pathway In Vitro.
Wang C, Liu C, Liang C, Qu X, Zou X, Du S, Zhang Q, Wang L
International journal of molecular sciences 2023 Mar 28;24(7)
International journal of molecular sciences 2023 Mar 28;24(7)
TANGO1 interacts with NRTN to promote hepatocellular carcinoma progression by regulating the PI3K/AKT/mTOR signaling pathway.
Man J, Zhou W, Zuo S, Zhao X, Wang Q, Ma H, Li HY
Biochemical pharmacology 2023 Jul;213:115615
Biochemical pharmacology 2023 Jul;213:115615
Knockdown of MEF2D inhibits the development and progression of B-cell acute lymphoblastic leukemia.
Chang N, Feng J, Liao P, Hu Y, Li M, He Y, Li Y
Translational cancer research 2023 Feb 28;12(2):287-300
Translational cancer research 2023 Feb 28;12(2):287-300
ERO1α promotes the proliferation and inhibits apoptosis of colorectal cancer cells by regulating the PI3K/AKT pathway.
Wu M, Li R, Qin J, Wang Z, Guo J, Lv F, Wang G, Huang Y
Journal of molecular histology 2023 Dec;54(6):621-631
Journal of molecular histology 2023 Dec;54(6):621-631
Effects of Lycium barbarum polysaccharide on the photoinduced autophagy of retinal pigment epithelium cells.
Gao YY, Li J, Huang J, Li WJ, Yu Y
International journal of ophthalmology 2022;15(1):23-30
International journal of ophthalmology 2022;15(1):23-30
Mannan-Binding Lectin via Interaction With Cell Surface Calreticulin Promotes Senescence of Activated Hepatic Stellate Cells to Limit Liver Fibrosis Progression.
Luo J, Li L, Chang B, Zhu Z, Deng F, Hu M, Yu Y, Lu X, Chen Z, Zuo D, Zhou J
Cellular and molecular gastroenterology and hepatology 2022;14(1):75-99
Cellular and molecular gastroenterology and hepatology 2022;14(1):75-99
Legumain affects the PI3K/AKT tumor progression pathway in retinoblastoma.
Tang Q, Xu F, Lin J, Zhang C, Liu X, Dong L, Zhao J, Zhu L, Lin T
Experimental eye research 2022 Nov;224:109221
Experimental eye research 2022 Nov;224:109221
Determination of WWOX Function in Modulating Cellular Pathways Activated by AP-2α and AP-2γ Transcription Factors in Bladder Cancer.
Kołat D, Kałuzińska Ż, Bednarek AK, Płuciennik E
Cells 2022 Apr 19;11(9)
Cells 2022 Apr 19;11(9)
Silencing of DsbA-L gene impairs the PPARγ agonist function of improving insulin resistance in a high-glucose cell model.
Zhou X, Li JQ, Wei LJ, He MZ, Jia J, Zhang JY, Wang SS, Feng L
Journal of Zhejiang University. Science. B 2020 Dec.;21(12):990-998
Journal of Zhejiang University. Science. B 2020 Dec.;21(12):990-998
EGFR‑associated pathways involved in traditional Chinese medicine (TCM)‑1‑induced cell growth inhibition, autophagy and apoptosis in prostate cancer.
Wu Z, Zhu Q, Zhang Y, Yin Y, Kang D, Cao R, Tian Q, Lu S, Liu P
Molecular medicine reports 2018 Jun;17(6):7875-7885
Molecular medicine reports 2018 Jun;17(6):7875-7885
No comments: Submit comment
Supportive validation
- Submitted by
- Proteintech Group (provider)
- Main image

- Experimental details
- HeLa cells were subjected to SDS PAGE followed by western blot with 21739-1-AP(PIK3CB antibody) at dilution of 1:500
- Sample type
- cell line
Supportive validation
- Submitted by
- Proteintech Group (provider)
- Main image

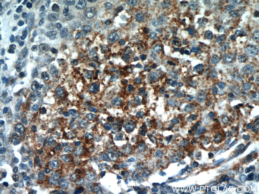
- Experimental details
- Immunohistochemical of paraffin-embedded human liver cancer using 21739-1-AP(PIK3CB antibody) at dilution of 1:50 (under 10x lens)
- Sample type
- tissue
- Submitted by
- Proteintech Group (provider)
- Main image

- Experimental details
- The PIK3CB antibody from Proteintech is a rabbit polyclonal antibody to a fusion protein of human PIK3CB. This antibody recognizes human antigen. The PIK3CB antibody has been validated for the following applications: ELISA, WB, IHC analysis.