Antibody data
- Antibody Data
- Antigen structure
- References [0]
- Comments [0]
- Validations
- Immunohistochemistry [1]
Submit
Validation data
Reference
Comment
Report error
- Product number
- AP15729PU-M - Provider product page

- Provider
- Acris Antibodies GmbH
- Proper citation
- Acris Antibodies GmbH Cat#AP15729PU-M, RRID:AB_10977190
- Product name
- anti PIK3CB / PIK3C1
- Antibody type
- Polyclonal
- Antigen
- A synthetic peptide corresponding to internal region of human PI3kp110beta
- Reactivity
- Human
- Host
- Rabbit
- Vial size
- 0.5 ml
No comments: Submit comment
Supportive validation
- Submitted by
- Acris Antibodies GmbH (provider)
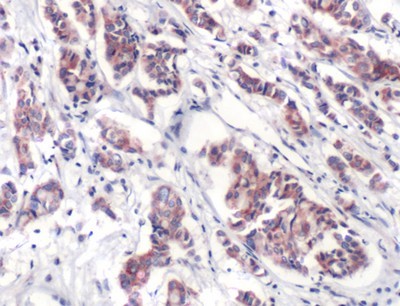
- Main image

- Experimental details
- Human breast carcinoma stained with anti-PI3k p110beta antibody