Antibody data
- Antibody Data
- Antigen structure
- References [0]
- Comments [0]
- Validations
- Western blot [1]
- ELISA [1]
- Immunohistochemistry [1]
Submit
Validation data
Reference
Comment
Report error
- Product number
- H00084317-M05 - Provider product page

- Provider
- Abnova Corporation
- Proper citation
- Abnova Corporation Cat#H00084317-M05, RRID:AB_10549387
- Product name
- CCDC115 monoclonal antibody (M05), clone 4E9
- Antibody type
- Monoclonal
- Description
- Mouse monoclonal antibody raised against a full-length recombinant CCDC115.
- Antigen sequence
MGAKSVGPLQYASHMEPQVCLHASEAQEGLQKFKV
VRAGVHAPEEVGPREAGLRRRKGPTKTPEPESSEA
PQDPLNWFGILVPHSLRQAQASFRDGLQLAADIAS
LQNRIDWGRSQLRGLQEKLKQLEPGAA- Isotype
- IgG
- Antibody clone number
- 4E9
- Storage
- Store at -20°C or lower. Aliquot to avoid repeated freezing and thawing.
No comments: Submit comment
Supportive validation
- Submitted by
- Abnova Corporation (provider)
- Main image

- Experimental details
- Western Blot analysis of CCDC115 expression in transfected 293T cell line by CCDC115 monoclonal antibody (M05), clone 4E9.Lane 1: CCDC115 transfected lysate(19.8 KDa).Lane 2: Non-transfected lysate.
Supportive validation
- Submitted by
- Abnova Corporation (provider)
- Main image

- Experimental details
- Detection limit for recombinant GST tagged CCDC115 is 0.3 ng/ml as a capture antibody.
- Validation comment
- Sandwich ELISA (Recombinant protein)
- Protocol
- Protocol
Supportive validation
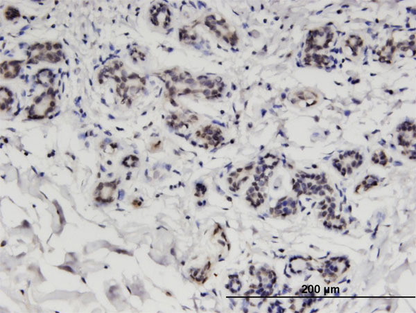
- Submitted by
- Abnova Corporation (provider)
- Main image

- Experimental details
- Immunoperoxidase of monoclonal antibody to CCDC115 on formalin-fixed paraffin-embedded human breast. [antibody concentration 1.5 ug/ml]
- Validation comment
- Immunohistochemistry (Formalin/PFA-fixed paraffin-embedded sections)
- Protocol
- Protocol