Antibody data
- Antibody Data
- Antigen structure
- References [0]
- Comments [0]
- Validations
- Immunohistochemistry [2]
Submit
Validation data
Reference
Comment
Report error
- Product number
- PA1-31145 - Provider product page

- Provider
- Invitrogen Antibodies
- Product name
- PDE10A Polyclonal Antibody
- Antibody type
- Polyclonal
- Antigen
- Synthetic peptide
- Description
- Recommended positive controls: For western blot - Rat brain and pancreas.
- Reactivity
- Human, Mouse, Rat
- Host
- Rabbit
- Isotype
- IgG
- Vial size
- 100 μg
- Concentration
- 0.70 mg/mL
- Storage
- Store at 4°C short term. For long term storage, store at -20°C, avoiding freeze/thaw cycles.
No comments: Submit comment
Supportive validation
- Submitted by
- Invitrogen Antibodies (provider)
- Main image

- Experimental details
- Immunohistochemistry analysis of rat testis tissue using PDE10A Polyclonal Antibody (Product # PA1-31145). Figure A: Negative control. Figure B: Primary antibody. Dilution: 1:200.
- Submitted by
- Invitrogen Antibodies (provider)
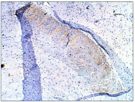
- Main image

- Experimental details
- Immunohistochemical (Paraffin) analysis of mouse brain tissue using (Product # PA1-31145) PDE10A Polyclonal Antibody. Dilution: 1:100.