PA5-56444
antibody from Invitrogen Antibodies
Targeting: FRMD1
bA164L23.1, DKFZp434O0117, FLJ00181, FLJ22615, FLJ40260
Antibody data
- Antibody Data
- Antigen structure
- References [0]
- Comments [0]
- Validations
- Immunohistochemistry [1]
Submit
Validation data
Reference
Comment
Report error
- Product number
- PA5-56444 - Provider product page

- Provider
- Invitrogen Antibodies
- Product name
- Anti-FRMD1 Polyclonal Antibody
- Antibody type
- Polyclonal
- Antigen
- Recombinant full-length protein
- Description
- Immunogen sequence: YRESYISDEL ELDLASRSFP GSGVSSQHCP HCLSRHSADS HGSSYTSGIK ANSWLRESRE MSVDVPL Highest antigen sequence identity to the following orthologs: Mouse - 43%, Rat - 42%.
- Reactivity
- Human
- Host
- Rabbit
- Isotype
- IgG
- Vial size
- 100 µl
- Concentration
- Lot-Specific
- Storage
- Store at 4°C short term. For long term storage, store at -20°C, avoiding freeze/thaw cycles.
No comments: Submit comment
Supportive validation
- Submitted by
- Invitrogen Antibodies (provider)
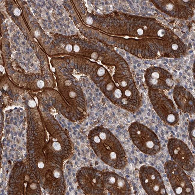
- Main image

- Experimental details
- Immunohistochemical staining of FRMD1 in human duodenum tissue shows strong cytoplasmic and membranous positivity in glandular cells. Samples were probed using a FRMD1 Polyclonal Antibody (Product # PA5-56444).