Antibody data
- Antibody Data
- Antigen structure
- References [0]
- Comments [0]
- Validations
- Western blot [1]
- Immunohistochemistry [1]
Submit
Validation data
Reference
Comment
Report error
- Product number
- AP32329PU-N - Provider product page

- Provider
- OriGene
- Product name
- RAB3GAP1 rabbit polyclonal antibody, Aff - Purified
- Antibody type
- Polyclonal
- Description
- RAB3GAP1 rabbit polyclonal antibody, Aff - Purified
- Host
- Rabbit
- Conjugate
- Unconjugated
- Epitope
- RAB3GAP1
- Isotype
- IgG
- Antibody clone number
- NULL
- Vial size
- 50 µl
- Concentration
- 1.0 mg/ml
No comments: Submit comment
Supportive validation
- Submitted by
- OriGene (provider)
- Main image

- Experimental details
- Western blot analysis of extracts from 293 cells using RAB3GAP1 / RAB3GAP antibody . . The lane on the right is treated with the synthesized peptide.
- Validation comment
- WB
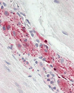
Supportive validation
- Submitted by
- OriGene (provider)
- Main image

- Experimental details
- Immunhistochemistry analysis in human prostate / nerve (Formalin-fixed, Paraffin-embedded) using RAB3GAP1 / RAB3GAP?antibody . .
- Validation comment
- IHC