Antibody data
- Antibody Data
- Antigen structure
- References [0]
- Comments [0]
- Validations
- Western blot [1]
- Immunocytochemistry [1]
- Immunohistochemistry [1]
Submit
Validation data
Reference
Comment
Report error
- Product number
- GTX100217 - Provider product page

- Provider
- GeneTex
- Proper citation
- GeneTex Cat#GTX100217, RRID:AB_1949993
- Product name
- CLCA1 antibody [C1C2], Internal
- Antibody type
- Polyclonal
- Reactivity
- Human
- Host
- Rabbit
No comments: Submit comment
Supportive validation
- Submitted by
- GeneTex (provider)
- Main image

- Experimental details
- Sample (30 ug of whole cell lysate)A: A431 (GTX27909)7.5% SDS PAGEGTX100217 diluted at 1:1000
Supportive validation
- Submitted by
- GeneTex (provider)
- Main image

- Experimental details
- Immunofluorescence analysis of methanol-fixed A431, using CLCA1(GTX100217) antibody at 1:200 dilution.
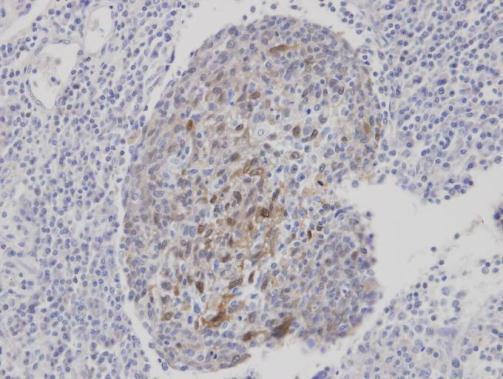
Supportive validation
- Submitted by
- GeneTex (provider)
- Main image

- Experimental details
- Immunohistochemical analysis of paraffin-embedded human gastric cancer, using CLCA1(GTX100217) antibody at 1:100 dilution.