Antibody data
- Antibody Data
- Antigen structure
- References [0]
- Comments [0]
- Validations
- Immunohistochemistry [1]
Submit
Validation data
Reference
Comment
Report error
- Product number
- TA303030 - Provider product page

- Provider
- OriGene
- Product name
- Goat Polyclonal Antibody against CCKAR
- Antibody type
- Polyclonal
- Description
- Goat Polyclonal Antibody against CCKAR
- Host
- Goat
- Conjugate
- Unconjugated
- Epitope
- CCKAR
- Isotype
- IgG
- Antibody clone number
- NULL
- Vial size
- 100 µg
- Concentration
- 0.5 mg/ml
No comments: Submit comment
Supportive validation
- Submitted by
- OriGene (provider)
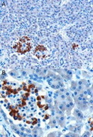
- Main image

- Experimental details
- TA303030 (10ug/ml) staining of paraffin embedded Human Pancreas. Microwaved antigen retrieval with citrate buffer pH 6, HRP-staining.
- Validation comment
- IHC