Antibody data
- Antibody Data
- Antigen structure
- References [0]
- Comments [0]
- Validations
- Western blot [3]
- ELISA [1]
- Immunohistochemistry [1]
- Flow cytometry [1]
Submit
Validation data
Reference
Comment
Report error
- Product number
- NBP2-37279 - Provider product page

- Provider
- Novus Biologicals
- Product name
- Mouse Monoclonal eIF2A Antibody
- Antibody type
- Monoclonal
- Description
- Protein A or G purified.
- Reactivity
- Human
- Host
- Mouse
- Isotype
- IgG
- Vial size
- 0.1 ml
- Concentration
- 1 mg/ml
- Storage
- Store at 4C short term. Aliquot and store at -20C long term. Avoid freeze-thaw cycles.
No comments: Submit comment
Supportive validation
- Submitted by
- Novus Biologicals (provider)
- Main image

- Experimental details
- Western Blot: eIF2A Antibody (3A7A8) [NBP2-37279] - Western blot analysis using EIF2A mouse mAb against MCF-7 (1), PC-12 (2), HepG2 (3), Hela (4), Cos7 (5), K562 (6), Jurkat (7), A431 (8) and NIH/3T3 (9) cell lysate.
- Submitted by
- Novus Biologicals (provider)
- Main image

- Experimental details
- Western Blot: eIF2A Antibody (3A7A8) [NBP2-37279] - Western blot analysis using EIF2A mAb against human EIF2A (AA: 448-576) recombinant protein. (Expected MW is 40.3 kDa)
- Submitted by
- Novus Biologicals (provider)
- Main image

- Experimental details
- Western Blot: eIF2A Antibody (3A7A8) [NBP2-37279] - Western blot analysis using EIF2A mAb against HEK293 (1) and EIF2A (AA: 448-576)-hIgGFc transfected HEK293 (2) cell lysate.
Supportive validation
- Submitted by
- Novus Biologicals (provider)
- Main image

- Experimental details
- ELISA: eIF2A Antibody (3A7A8) [NBP2-37279] - Red: Control Antigen (100ng); Purple: Antigen (10ng); Green: Antigen (50ng); Blue: Antigen (100ng);
Supportive validation
- Submitted by
- Novus Biologicals (provider)
- Main image

- Experimental details
- Immunohistochemistry: eIF2A Antibody (3A7A8) [NBP2-37279] - Immunohistochemical analysis of paraffin-embedded cervical cancer tissues using EIF2A mouse mAb with DAB staining.
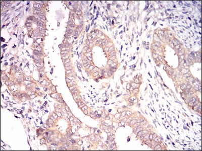
Supportive validation
- Submitted by
- Novus Biologicals (provider)
- Main image

- Experimental details
- Flow Cytometry: eIF2A Antibody (3A7A8) [NBP2-37279] - Flow cytometric analysis of HepG2 cells using EIF2A mouse mAb (green) and negative control (red).