Antibody data
- Antibody Data
- Antigen structure
- References [17]
- Comments [0]
- Validations
- Immunohistochemistry [4]
- Flow cytometry [1]
Submit
Validation data
Reference
Comment
Report error
- Product number
- NB110-88113 - Provider product page

- Provider
- Novus Biologicals
- Proper citation
- Novus Cat#NB110-88113, RRID:AB_1217916
- Product name
- Mouse Monoclonal SIAH2 Antibody
- Antibody type
- Monoclonal
- Description
- Tissue culture supernatant. This is specific for human SIAH2 and Drosophila SINA in proliferating cells and stem cells. This does not detect Drosophila SINAH or normal, nondividing cells.
- Reactivity
- Human, Mouse, Drosophila, Porcine
- Host
- Mouse
- Isotype
- IgG
- Vial size
- 0.5 ml
- Storage
- Store at 4C. Do not freeze.
Submitted references The E3 ubiquitin ligase Sina regulates the assembly and disassembly of the synaptonemal complex in Drosophila females.
The SIAH2-NRF1 axis spatially regulates tumor microenvironment remodeling for tumor progression.
DHX15 promotes prostate cancer progression by stimulating Siah2-mediated ubiquitination of androgen receptor.
SIAH2 protein expression in breast cancer is inversely related with ER status and outcome to tamoxifen therapy.
SIAH and EGFR, Two RAS Pathway Biomarkers, are Highly Prognostic in Locally Advanced and Metastatic Breast Cancer.
Zyxin-Siah2-Lats2 axis mediates cooperation between Hippo and TGF-β signalling pathways.
The Expression of the Ubiquitin Ligase SIAH2 (Seven In Absentia Homolog 2) Is Increased in Human Lung Cancer.
Increased expression of PHD3 represses the HIF-1 signaling pathway and contributes to poor neovascularization in pancreatic ductal adenocarcinoma.
Loss of Siah2 does not impact angiogenic potential of murine endothelial cells.
Hypoxia regulates Hippo signalling through the SIAH2 ubiquitin E3 ligase.
The ubiquitin ligase Siah is a novel regulator of Zeb1 in breast cancer.
Combining clinicopathological predictors and molecular biomarkers in the oncogenic K-RAS/Ki67/HIF-1α pathway to predict survival in resectable pancreatic cancer.
Evaluation of protein biomarkers of prostate cancer aggressiveness.
The E3 ubiquitin ligase Siah2 contributes to castration-resistant prostate cancer by regulation of androgen receptor transcriptional activity.
The expression of the ubiquitin ligase SIAH2 (seven in absentia homolog 2) is mediated through gene copy number in breast cancer and is associated with a basal-like phenotype and p53 expression.
Effect of disrupting seven-in-absentia homolog 2 function on lung cancer cell growth.
Inhibition of RAS-mediated transformation and tumorigenesis by targeting the downstream E3 ubiquitin ligase seven in absentia homologue.
Hughes SE, Hemenway E, Guo F, Yi K, Yu Z, Hawley RS
PLoS genetics 2019 May;15(5):e1008161
PLoS genetics 2019 May;15(5):e1008161
The SIAH2-NRF1 axis spatially regulates tumor microenvironment remodeling for tumor progression.
Ma B, Cheng H, Mu C, Geng G, Zhao T, Luo Q, Ma K, Chang R, Liu Q, Gao R, Nie J, Xie J, Han J, Chen L, Ma G, Zhu Y, Chen Q
Nature communications 2019 Mar 4;10(1):1034
Nature communications 2019 Mar 4;10(1):1034
DHX15 promotes prostate cancer progression by stimulating Siah2-mediated ubiquitination of androgen receptor.
Jing Y, Nguyen MM, Wang D, Pascal LE, Guo W, Xu Y, Ai J, Deng FM, Masoodi KZ, Yu X, Zhang J, Nelson JB, Xia S, Wang Z
Oncogene 2018 Feb 1;37(5):638-650
Oncogene 2018 Feb 1;37(5):638-650
SIAH2 protein expression in breast cancer is inversely related with ER status and outcome to tamoxifen therapy.
van der Willik KD, Timmermans MM, van Deurzen CH, Look MP, Reijm EA, van Zundert WJ, Foekens R, Trapman-Jansen AM, den Bakker MA, Westenend PJ, Martens JW, Berns EM, Jansen MP
American journal of cancer research 2016;6(2):270-84
American journal of cancer research 2016;6(2):270-84
SIAH and EGFR, Two RAS Pathway Biomarkers, are Highly Prognostic in Locally Advanced and Metastatic Breast Cancer.
van Reesema LLS, Zheleva V, Winston JS, Jansen RJ, O'Connor CF, Isbell AJ, Bian M, Qin R, Bassett PT, Hinson VJ, Dorsch KA, Kirby BW, Van Sciver RE, Tang-Tan AM, Harden EA, Chang DZ, Allen CA, Perry RR, Hoefer RA, Tang AH
EBioMedicine 2016 Sep;11:183-198
EBioMedicine 2016 Sep;11:183-198
Zyxin-Siah2-Lats2 axis mediates cooperation between Hippo and TGF-β signalling pathways.
Ma B, Cheng H, Gao R, Mu C, Chen L, Wu S, Chen Q, Zhu Y
Nature communications 2016 Mar 31;7:11123
Nature communications 2016 Mar 31;7:11123
The Expression of the Ubiquitin Ligase SIAH2 (Seven In Absentia Homolog 2) Is Increased in Human Lung Cancer.
Moreno P, Lara-Chica M, Soler-Torronteras R, Caro T, Medina M, Álvarez A, Salvatierra Á, Muñoz E, Calzado MA
PloS one 2015;10(11):e0143376
PloS one 2015;10(11):e0143376
Increased expression of PHD3 represses the HIF-1 signaling pathway and contributes to poor neovascularization in pancreatic ductal adenocarcinoma.
Tanaka T, Li TS, Urata Y, Goto S, Ono Y, Kawakatsu M, Matsushima H, Hirabaru M, Adachi T, Kitasato A, Takatsuki M, Kuroki T, Eguchi S
Journal of gastroenterology 2015 Sep;50(9):975-83
Journal of gastroenterology 2015 Sep;50(9):975-83
Loss of Siah2 does not impact angiogenic potential of murine endothelial cells.
Wong CS, Chen A, Liu MC, Parker BS, Möller A
Microvascular research 2015 Nov;102:38-45
Microvascular research 2015 Nov;102:38-45
Hypoxia regulates Hippo signalling through the SIAH2 ubiquitin E3 ligase.
Ma B, Chen Y, Chen L, Cheng H, Mu C, Li J, Gao R, Zhou C, Cao L, Liu J, Zhu Y, Chen Q, Wu S
Nature cell biology 2015 Jan;17(1):95-103
Nature cell biology 2015 Jan;17(1):95-103
The ubiquitin ligase Siah is a novel regulator of Zeb1 in breast cancer.
Chen A, Wong CS, Liu MC, House CM, Sceneay J, Bowtell DD, Thompson EW, Möller A
Oncotarget 2015 Jan 20;6(2):862-73
Oncotarget 2015 Jan 20;6(2):862-73
Combining clinicopathological predictors and molecular biomarkers in the oncogenic K-RAS/Ki67/HIF-1α pathway to predict survival in resectable pancreatic cancer.
Qin R, Smyrk TC, Reed NR, Schmidt RL, Schnelldorfer T, Chari ST, Petersen GM, Tang AH
British journal of cancer 2015 Feb 3;112(3):514-22
British journal of cancer 2015 Feb 3;112(3):514-22
Evaluation of protein biomarkers of prostate cancer aggressiveness.
Rizzardi AE, Rosener NK, Koopmeiners JS, Isaksson Vogel R, Metzger GJ, Forster CL, Marston LO, Tiffany JR, McCarthy JB, Turley EA, Warlick CA, Henriksen JC, Schmechel SC
BMC cancer 2014 Apr 5;14:244
BMC cancer 2014 Apr 5;14:244
The E3 ubiquitin ligase Siah2 contributes to castration-resistant prostate cancer by regulation of androgen receptor transcriptional activity.
Qi J, Tripathi M, Mishra R, Sahgal N, Fazli L, Ettinger S, Placzek WJ, Claps G, Chung LW, Bowtell D, Gleave M, Bhowmick N, Ronai ZA
Cancer cell 2013 Mar 18;23(3):332-46
Cancer cell 2013 Mar 18;23(3):332-46
The expression of the ubiquitin ligase SIAH2 (seven in absentia homolog 2) is mediated through gene copy number in breast cancer and is associated with a basal-like phenotype and p53 expression.
Chan P, Möller A, Liu MC, Sceneay JE, Wong CS, Waddell N, Huang KT, Dobrovic A, Millar EK, O'Toole SA, McNeil CM, Sutherland RL, Bowtell DD, Fox SB
Breast cancer research : BCR 2011 Feb 9;13(1):R19
Breast cancer research : BCR 2011 Feb 9;13(1):R19
Effect of disrupting seven-in-absentia homolog 2 function on lung cancer cell growth.
Ahmed AU, Schmidt RL, Park CH, Reed NR, Hesse SE, Thomas CF, Molina JR, Deschamps C, Yang P, Aubry MC, Tang AH
Journal of the National Cancer Institute 2008 Nov 19;100(22):1606-29
Journal of the National Cancer Institute 2008 Nov 19;100(22):1606-29
Inhibition of RAS-mediated transformation and tumorigenesis by targeting the downstream E3 ubiquitin ligase seven in absentia homologue.
Schmidt RL, Park CH, Ahmed AU, Gundelach JH, Reed NR, Cheng S, Knudsen BE, Tang AH
Cancer research 2007 Dec 15;67(24):11798-810
Cancer research 2007 Dec 15;67(24):11798-810
No comments: Submit comment
Supportive validation
- Submitted by
- Novus Biologicals (provider)
- Main image

- Experimental details
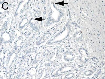
- Immunohistochemistry: SIAH2 Antibody (24E6H3) [NB110-88113] - Staining of SIAH in human colorectal adenocarcinoma using NB110-88113. Staining of SIAH was not observed in normal colon epithelium. Photos courtesy of Dr. Amy Tang, Mayo Clinic Cancer Center.
- Submitted by
- Novus Biologicals (provider)
- Main image

- Experimental details
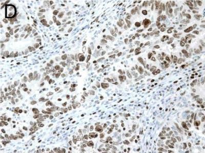
- Immunohistochemistry: SIAH2 Antibody (24E6H3) [NB110-88113] - Strong SIAH2 staining in all nuclei in this basal-like breast carcinoma. Image collected and cropped by CiteAb from the following publication (breast-cancer-research.biomedcentral.com/articles/10.1186/bcr2828), licensed under a CC-BY licence.
- Submitted by
- Novus Biologicals (provider)
- Main image

- Experimental details
- Immunohistochemistry: SIAH2 Antibody (24E6H3) [NB110-88113] - Occasional weak to moderate SIAH2 (arrows) staining in a luminal type ductal carcinoma. Image collected and cropped by CiteAb from the following publication (breast-cancer-research.biomedcentral.com/articles/10.1186/bcr2828), licensed under a CC-BY licence.
- Submitted by
- Novus Biologicals (provider)
- Main image

- Experimental details
- Immunohistochemistry: SIAH2 Antibody (24E6H3) [NB110-88113] - Moderate to strong staining of SIAH2 in the nucleus of a small proportion of the cell in a high nuclear grade ductal carcinoma in situ with comedo necrosis. Image collected and cropped by CiteAb from the following publication (breast-cancer-research.biomedcentral.com/articles/10.1186/bcr2828), licensed under a CC-BY licence.
Supportive validation
- Submitted by
- Novus Biologicals (provider)
- Main image

- Experimental details
- Flow (Intracellular): SIAH2 Antibody (24E6H3) [NB110-88113] - Human HepG2 cell line was stained with Mouse Anti- SIAH2 Monoclonal Antibody (Catalog# NB110-88113, orange), or Mouse IgG1 isotype control (Catalog# MAB002, blue) followed by APC-conjugated Anti-Mouse IgG Secondary Antibody (Catalog # F0101B). To facilitate intracellular staining, cells were fixed with Flow Cytometry Fixation Buffer (Catalog# FC004) and permeabilized with Flow Cytometry Permeabilization/Wash Buffer I (Catalog# FC005).