Antibody data
- Antibody Data
- Antigen structure
- References [0]
- Comments [0]
- Validations
- Immunohistochemistry [10]
Submit
Validation data
Reference
Comment
Report error
- Product number
- NBP1-82628 - Provider product page

- Provider
- Novus Biologicals
- Proper citation
- Novus Cat#NBP1-82628, RRID:AB_11009706
- Product name
- Rabbit Polyclonal GBP4 Antibody
- Antibody type
- Polyclonal
- Description
- Immunogen affinity purified. Specificity of human GBP4 antibody verified on a Protein Array containing target protein plus 383 other non-specific proteins.
- Reactivity
- Human
- Host
- Rabbit
- Isotype
- IgG
- Vial size
- 0.1 ml
- Storage
- Store at 4C short term. Aliquot and store at -20C long term. Avoid freeze-thaw cycles.
No comments: Submit comment
Supportive validation
- Submitted by
- Novus Biologicals (provider)
- Main image

- Experimental details
- Immunohistochemistry-Paraffin: GBP4 Antibody [NBP1-82628] - Staining of human duodenum shows strong cytoplasmic positivity in glandular cells.
- Submitted by
- Novus Biologicals (provider)
- Main image

- Experimental details
- Immunohistochemistry-Paraffin: GBP4 Antibody [NBP1-82628] - Staining of human cerebral cortex shows low expression as expected.
- Submitted by
- Novus Biologicals (provider)
- Main image

- Experimental details
- Immunohistochemistry-Paraffin: GBP4 Antibody [NBP1-82628] - Staining in human lymph node and cerebral cortex tissues using anti-GBP4 antibody. Corresponding GBP4 RNA-seq data are presented for the same tissues.
- Submitted by
- Novus Biologicals (provider)
- Main image

- Experimental details
- Immunohistochemistry-Paraffin: GBP4 Antibody [NBP1-82628] - Staining of human lymph node shows high expression.
- Submitted by
- Novus Biologicals (provider)
- Main image

- Experimental details
- Immunohistochemistry-Paraffin: GBP4 Antibody [NBP1-82628] - Staining of human pancreas shows very weak membranous positivity in exocrine glandular cells.
- Submitted by
- Novus Biologicals (provider)
- Main image

- Experimental details
- Immunohistochemistry-Paraffin: GBP4 Antibody [NBP1-82628] - Staining of human lymph node shows strong membranous positivity in non-germinal center cells.
- Submitted by
- Novus Biologicals (provider)
- Main image

- Experimental details
- Immunohistochemistry-Paraffin: GBP4 Antibody [NBP1-82628] - Analysis in human lymph node and pancreas tissues. Corresponding GBP4 RNA-seq data are presented for the same tissues.
- Submitted by
- Novus Biologicals (provider)
- Main image

- Experimental details
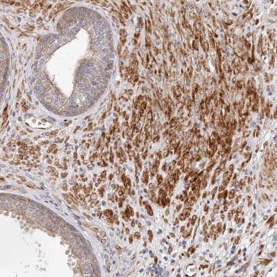
- Immunohistochemistry-Paraffin: GBP4 Antibody [NBP1-82628] - Staining of human prostate shows moderate to strong cytoplasmic/membranous positivity in smooth muscle cells.
- Submitted by
- Novus Biologicals (provider)
- Main image

- Experimental details
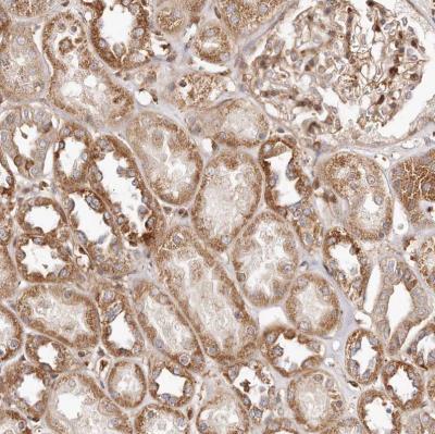
- Immunohistochemistry-Paraffin: GBP4 Antibody [NBP1-82628] - Staining of human kidney shows moderate cytoplasmic positivity in cells in tubules
- Submitted by
- Novus Biologicals (provider)
- Main image

- Experimental details
- Immunohistochemistry-Paraffin: GBP4 Antibody [NBP1-82628] - Staining of human prostate shows moderate to strong cytoplasmic/membranous positivity in smooth muscle cells.