Antibody data
- Antibody Data
- Antigen structure
- References [0]
- Comments [0]
- Validations
- Western blot [1]
- Immunohistochemistry [3]
Submit
Validation data
Reference
Comment
Report error
- Product number
- GTX54023 - Provider product page

- Provider
- GeneTex
- Product name
- DPYD antibody
- Antibody type
- Polyclonal
- Reactivity
- Human, Mouse
- Host
- Rabbit
No comments: Submit comment
Supportive validation
- Submitted by
- GeneTex (provider)
- Main image

- Experimental details
- WB analysis of extracts from various cell lines using DPYD antibody.
Supportive validation
- Submitted by
- GeneTex (provider)
- Main image

- Experimental details
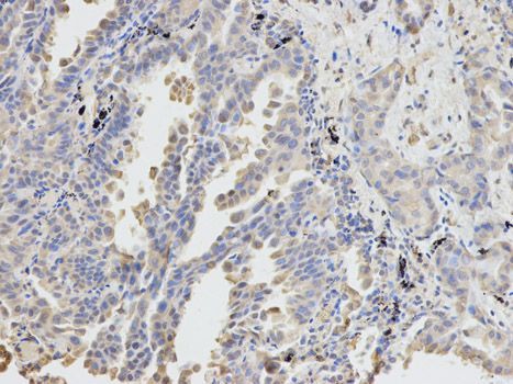
- IHC-P analysis of human stomach cancer using DPYD antibody at a dilution of 1:100.
- Submitted by
- GeneTex (provider)
- Main image

- Experimental details
- IHC-P analysis of mouse lung tissue using DPYD antibody at a dilution of 1:100.
- Submitted by
- GeneTex (provider)
- Main image

- Experimental details
- IHC-P analysis of human lung cancer using DPYD antibody at a dilution of 1:100.