Antibody data
- Antibody Data
- Antigen structure
- References [0]
- Comments [0]
- Validations
- Immunohistochemistry [4]
Submit
Validation data
Reference
Comment
Report error
- Product number
- PA5-83276 - Provider product page

- Provider
- Invitrogen Antibodies
- Product name
- STAM2 Polyclonal Antibody
- Antibody type
- Polyclonal
- Antigen
- Recombinant protein fragment
- Description
- Immunogen sequence: EAPVYSVYSK LHPPAHYPPA SSGVPMQTYP VQSHGGNYMG QSIHQVTVAQ SYSLGPDQIG PLRSLPPNVN SSVTA
- Reactivity
- Human
- Host
- Rabbit
- Isotype
- IgG
- Vial size
- 100 μL
- Concentration
- 0.05 mg/mL
- Storage
- Store at 4°C short term. For long term storage, store at -20°C, avoiding freeze/thaw cycles.
No comments: Submit comment
Supportive validation
- Submitted by
- Invitrogen Antibodies (provider)
- Main image

- Experimental details
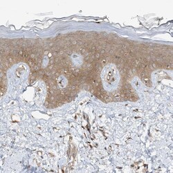
- Immunohistochemical analysis of STAM2 in human squamous epithelia using STAM2 Polyclonal Antibody (Product # PA5-83276) shows moderate cytoplasmic positivity in squamous epithelial cells.
- Submitted by
- Invitrogen Antibodies (provider)
- Main image

- Experimental details
- Immunohistochemical analysis of STAM2 in human endometrium using STAM2 Polyclonal Antibody (Product # PA5-83276) shows moderate cytoplasmic positivity in glandular cells.
- Submitted by
- Invitrogen Antibodies (provider)
- Main image

- Experimental details
- Immunohistochemical analysis of STAM2 in human skeletal muscle using STAM2 Polyclonal Antibody (Product # PA5-83276) shows very weak positivity in myocytes.
- Submitted by
- Invitrogen Antibodies (provider)
- Main image

- Experimental details
- Immunohistochemical analysis of STAM2 in human testis using STAM2 Polyclonal Antibody (Product # PA5-83276) shows moderate cytoplasmic positivity in cells in seminiferous ducts.