Antibody data
- Antibody Data
- Antigen structure
- References [1]
- Comments [0]
- Validations
- Western blot [2]
- Immunohistochemistry [1]
Submit
Validation data
Reference
Comment
Report error
- Product number
- NBP1-87113 - Provider product page

- Provider
- Novus Biologicals
- Proper citation
- Novus Cat#NBP1-87113, RRID:AB_11037248
- Product name
- Rabbit Polyclonal RTCD1 Antibody
- Antibody type
- Polyclonal
- Description
- Immunogen affinity purified. Specificity of RTCD1 antibody verified on a Protein Array containing target protein plus 383 other non-specific proteins.
- Reactivity
- Human, Mouse, Rat, Drosophila
- Host
- Rabbit
- Isotype
- IgG
- Vial size
- 0.1 ml
- Storage
- Store at 4C short term. Aliquot and store at -20C long term. Avoid freeze-thaw cycles.
Submitted references Regulation of axon regeneration by the RNA repair and splicing pathway.
Song Y, Sretavan D, Salegio EA, Berg J, Huang X, Cheng T, Xiong X, Meltzer S, Han C, Nguyen TT, Bresnahan JC, Beattie MS, Jan LY, Jan YN
Nature neuroscience 2015 Jun;18(6):817-25
Nature neuroscience 2015 Jun;18(6):817-25
No comments: Submit comment
Supportive validation
- Submitted by
- Novus Biologicals (provider)
- Main image

- Experimental details
- Western Blot: RTCD1 Antibody [NBP1-87113] - Lane 1: NIH-3T3 cell lysate (Mouse embryonic fibroblast cells). Lane 2: NBT-II cell lysate (Rat Wistar bladder tumor cells).
- Submitted by
- Novus Biologicals (provider)
- Main image

- Experimental details
- Western Blot: RTCD1 Antibody [NBP1-87113] - Analysis using Anti-RTCA antibody NBP1-87113 (A) shows similar pattern to independent antibody NBP2-58714 (B).
Supportive validation
- Submitted by
- Novus Biologicals (provider)
- Main image

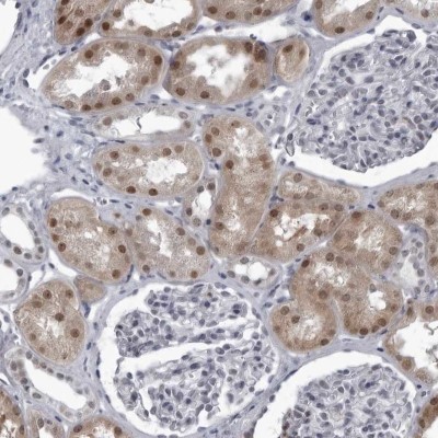
- Experimental details
- Immunohistochemistry-Paraffin: RTCD1 Antibody [NBP1-87113] - Staining of human kidney shows moderate nuclear and cytoplasmic positivity in cells in tubules.