Antibody data
- Antibody Data
- Antigen structure
- References [2]
- Comments [0]
- Validations
- Immunohistochemistry [4]
- Other assay [1]
Submit
Validation data
Reference
Comment
Report error
- Product number
- PA5-68410 - Provider product page

- Provider
- Invitrogen Antibodies
- Product name
- COL11A1 Polyclonal Antibody
- Antibody type
- Polyclonal
- Antigen
- Other
- Reactivity
- Human
- Host
- Rabbit
- Isotype
- IgG
- Vial size
- 100 μL
- Concentration
- 0.8 mg/mL
- Storage
- -20°C
Submitted references Human cutaneous neurofibroma matrisome revealed by single-cell RNA sequencing.
AKT3 deficiency in M2 macrophages impairs cutaneous wound healing by disrupting tissue remodeling.
Brosseau JP, Sathe AA, Wang Y, Nguyen T, Glass DA 2nd, Xing C, Le LQ
Acta neuropathologica communications 2021 Jan 7;9(1):11
Acta neuropathologica communications 2021 Jan 7;9(1):11
AKT3 deficiency in M2 macrophages impairs cutaneous wound healing by disrupting tissue remodeling.
Gu S, Dai H, Zhao X, Gui C, Gui J
Aging 2020 Apr 14;12(8):6928-6946
Aging 2020 Apr 14;12(8):6928-6946
No comments: Submit comment
Supportive validation
- Submitted by
- Invitrogen Antibodies (provider)
- Main image

- Experimental details
- Immunohistochemical analysis of COL11A1 in paraffin-embedded Human liver cancer tissue using (left) COL11A1 Polyclonal Antibody (Product # PA5-68410). at a 1:25 dilution and (right) is treated with fusion protein. (Original magnification: x200).
- Submitted by
- Invitrogen Antibodies (provider)
- Main image

- Experimental details
- Immunohistochemical analysis of COL11A1 in paraffin-embedded Human thyroid cancer tissue using (left) COL11A1 Polyclonal Antibody (Product # PA5-68410). at a 1:25 dilution and (right) is treated with fusion protein. (Original magnification: x200).
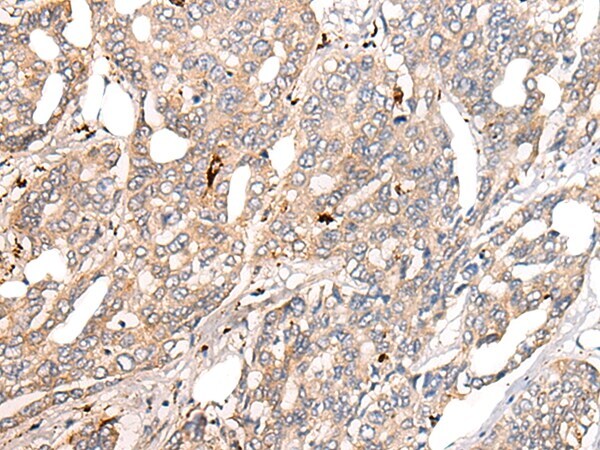
- Submitted by
- Invitrogen Antibodies (provider)
- Main image

- Experimental details
- Immunohistochemical analysis of COL11A1 in paraffin-embedded Human liver cancer tissue using (left) COL11A1 Polyclonal Antibody (Product # PA5-68410). at a 1:25 dilution and (right) is treated with fusion protein. (Original magnification: x200).
- Submitted by
- Invitrogen Antibodies (provider)
- Main image

- Experimental details
- Immunohistochemical analysis of COL11A1 in paraffin-embedded Human thyroid cancer tissue using (left) COL11A1 Polyclonal Antibody (Product # PA5-68410). at a 1:25 dilution and (right) is treated with fusion protein. (Original magnification: x200).
Supportive validation
- Submitted by
- Invitrogen Antibodies (provider)
- Main image

- Experimental details
- Fig. 3 Classic fibrogenic fibroblasts are rare in neurofibroma. a Feature plots of dipeptidyl peptidase 4 ( DDP4 ), fibroblast-activated protein ( FAP ), and COL11A1 in human cutaneous neurofibroma. The intensity of the purple color indicates the normalized level of gene expression. b Characterization of activated fibroblasts in human clinical samples [keloids, normal skin (skin), cutaneous neurofibroma (cNF), normal peripheral nerve (nerve), and plexiform neurofibroma (pNF)] by immunohistochemistry [alpha smooth muscle actin (SMA), Fibroblast activation protein (FAP), and COL11A1]. c Profiling of the universal pro-fibrotic gene expression signature in human cutaneous neurofibroma (n = 5) and their normal skin margin (n = 5) by real-time PCR. Scale bar = 50 um. Arrows point fibroblasts and arrow heads point pericytes unspecific staining inherent to these fibroblasts markers