Antibody data
- Antibody Data
- Antigen structure
- References [0]
- Comments [0]
- Validations
- Western blot [1]
- Immunohistochemistry [1]
Submit
Validation data
Reference
Comment
Report error
- Product number
- AP54478PU-N - Provider product page 
- Provider
- Acris Antibodies GmbH
- Proper citation
- Acris Antibodies GmbH Cat#AP54478PU-N, RRID:AB_11146483
- Product name
- anti Uridine phosphorylase 2 (UPP2) (C-term)
- Antibody type
- Polyclonal
- Antigen
- KLH conjugated synthetic peptide between 217-244 amino acids from the C-terminal region of human UPP2
- Reactivity
- Human, Mouse
- Host
- Rabbit
- Vial size
- 0.4 ml
- Concentration
- lot specific
				No comments: Submit comment	
	
			
							
					Supportive validation
					
									
				
				- Submitted by
- Acris Antibodies GmbH (provider)
- Main image
 
- Experimental details
- UPP2 Antibody (C-term) (AP54478PU-N) western blot analysis in mouse heart tissue lysates (35 µg/lane). This demonstrates the UPP2 antibody detected the UPP2 protein (arrow).
							
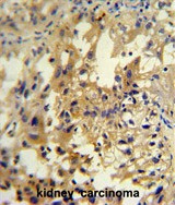
					Supportive validation
					
									
				
		- Submitted by
- Acris Antibodies GmbH (provider)
- Main image
 
- Experimental details
- UPP2 antibody (C-term) (AP54478PU-N) immunohistochemistry analysis in formalin fixed and paraffin embedded human kidney carcinoma followed by peroxidase conjugation of the secondary antibody and DAB staining. This data demonstrates the use of the UPP2 antibody (C-term) for immunohistochemistry. Clinical relevance has not been evaluated.