Antibody data
- Antibody Data
- Antigen structure
- References [1]
- Comments [0]
- Validations
- Immunohistochemistry [1]
Submit
Validation data
Reference
Comment
Report error
- Product number
- PA1486 - Provider product page

- Provider
- Boster Biological Technology
- Product name
- Anti-Alpha Amylase 1/AMY1A Antibody
- Antibody type
- Polyclonal
- Description
- Polyclonal antibody for AMY1A detection. Host: Rabbit.Size: 100μg/vial. Tested applications: IHC-P. Reactive species: Human. AMY1A information: Molecular Weight: 57768 MW; Subcellular Localization: Secreted.
- Reactivity
- Human, Mouse, Rat
- Host
- Rabbit
- Vial size
- 100μg/vial
- Concentration
- Add 0.2ml of distilled water will yield a concentration of 500ug/ml.
- Storage
- At -20°C for one year. After reconstitution, at 4°C for one month. It can also be aliquoted and stored frozen at -20°C for a longer time. Avoid repeated freezing and thawing.
- Handling
- Add 0.2ml of distilled water will yield a concentration of 500ug/ml.
Submitted references Long-Term Liraglutide Administration Induces Pancreas Neogenesis in Adult T2DM Mice.
Deng H, Yang F, Ma X, Wang Y, Chen Q, Yuan L
Cell transplantation 2020 Jan-Dec;29:963689720927392
Cell transplantation 2020 Jan-Dec;29:963689720927392
No comments: Submit comment
Supportive validation
- Submitted by
- Boster Biological Technology (provider)
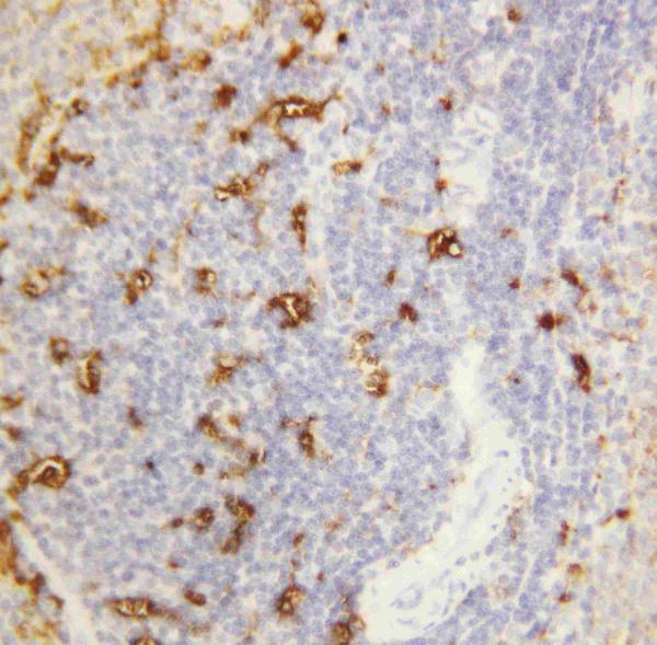
- Main image

- Experimental details
- IHC analysis of Alpha Amylase 1 using anti- Alpha Amylase 1 antibody (PA1486). Alpha Amylase 1 was detected in paraffin-embedded section of Rat Spleen tissues. Heat mediated antigen retrieval was performed in citrate buffer (pH6, epitope retrieval solution) for 20 mins. The tissue section was blocked with 10% goat serum. The tissue section was then incubated with 1μg/ml rabbit anti- Alpha Amylase 1 Antibody (PA1486) overnight at 4°C. Biotinylated goat anti-rabbit IgG was used as secondary antibody and incubated for 30 minutes at 37°C. The tissue section was developed using Strepavidin-Biotin-Complex (SABC)(Catalog # SA1022) with DAB as the chromogen.
- Additional image
