Antibody data
- Antibody Data
- Antigen structure
- References [0]
- Comments [0]
- Validations
- Immunohistochemistry [6]
Submit
Validation data
Reference
Comment
Report error
- Product number
- NBP2-57699 - Provider product page

- Provider
- Novus Biologicals
- Product name
- Rabbit Polyclonal EIG121 Antibody
- Antibody type
- Polyclonal
- Description
- Affinity purified. Specificity of human EIG121 antibody verified on a Protein Array containing target protein plus 383 other non-specific proteins.
- Reactivity
- Human
- Host
- Rabbit
- Isotype
- IgG
- Vial size
- 100 ul
- Storage
- Store at 4C short term. Aliquot and store at -20C long term. Avoid freeze-thaw cycles.
No comments: Submit comment
Supportive validation
- Submitted by
- Novus Biologicals (provider)
- Main image

- Experimental details
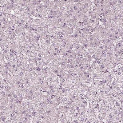
- Immunohistochemistry-Paraffin: EIG121 Antibody [NBP2-57699] - Staining of human liver shows low expression as expected.
- Submitted by
- Novus Biologicals (provider)
- Main image

- Experimental details
- Immunohistochemistry-Paraffin: EIG121 Antibody [NBP2-57699] - Staining of human prostate shows high expression.
- Submitted by
- Novus Biologicals (provider)
- Main image

- Experimental details
- Immunohistochemistry-Paraffin: EIG121 Antibody [NBP2-57699] - Staining in human prostate and liver tissues using anti-KIAA1324 antibody. Corresponding KIAA1324 RNA-seq data are presented for the same tissues.
- Submitted by
- Novus Biologicals (provider)
- Main image

- Experimental details
- Immunohistochemistry-Paraffin: EIG121 Antibody [NBP2-57699] - Staining of human cerebral cortex, liver, lymph node and prostate using Anti-KIAA1324 antibody NBP2-57699 (A) shows similar protein distribution across tissues to independent antibody NBP1-90479 (B).
- Submitted by
- Novus Biologicals (provider)
- Main image

- Experimental details
- Immunohistochemistry-Paraffin: EIG121 Antibody [NBP2-57699] - Staining of human lymph node.
- Submitted by
- Novus Biologicals (provider)
- Main image

- Experimental details
- Immunohistochemistry-Paraffin: EIG121 Antibody [NBP2-57699] - Staining of human cerebral cortex.