Antibody data
- Antibody Data
- Antigen structure
- References [0]
- Comments [0]
- Validations
- Western blot [3]
- Immunohistochemistry [4]
Submit
Validation data
Reference
Comment
Report error
- Product number
- NBP1-83093 - Provider product page

- Provider
- Novus Biologicals
- Proper citation
- Novus Cat#NBP1-83093, RRID:AB_11020739
- Product name
- Rabbit Polyclonal AHCYL1 Antibody
- Antibody type
- Polyclonal
- Description
- Immunogen affinity purified. Specificity of human, mouse, rat AHCYL1 antibody verified on a Protein Array containing target protein plus 383 other non-specific proteins.
- Reactivity
- Human, Mouse, Rat
- Host
- Rabbit
- Isotype
- IgG
- Vial size
- 0.1 ml
- Storage
- Store at 4C short term. Aliquot and store at -20C long term. Avoid freeze-thaw cycles.
No comments: Submit comment
Supportive validation
- Submitted by
- Novus Biologicals (provider)
- Main image

- Experimental details
- Western Blot: AHCYL1 Antibody [NBP1-83093] - Lane 1: Marker [kDa] 250, 130, 95, 72, 55, 36, 28, 17, 10. Lane 2: Human cell line RT-4. Lane 3: Human cell line U-251MG sp
- Submitted by
- Novus Biologicals (provider)
- Main image

- Experimental details
- Western Blot: AHCYL1 Antibody [NBP1-83093] - Analysis in A-431 cells transfected with control siRNA, target specific siRNA probe #1. Remaining relative intensity is presented. Loading control: Anti-GAPDH.
- Submitted by
- Novus Biologicals (provider)
- Main image

- Experimental details
- Western Blot: AHCYL1 Antibody [NBP1-83093] - Analysis in mouse cell line NIH-3T3 and rat cell line NBT-II.
Supportive validation
- Submitted by
- Novus Biologicals (provider)
- Main image

- Experimental details
- Immunohistochemistry-Paraffin: AHCYL1 Antibody [NBP1-83093] - Staining of human pancreas shows moderate cytoplasmic and membranous positivity in ducts.
- Submitted by
- Novus Biologicals (provider)
- Main image

- Experimental details
- Immunohistochemistry-Paraffin: AHCYL1 Antibody [NBP1-83093] - Staining of human fallopian tube shows moderate membranous positivity in glandular cells.
- Submitted by
- Novus Biologicals (provider)
- Main image

- Experimental details
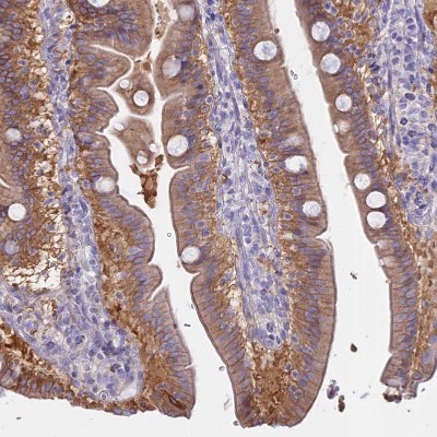
- Immunohistochemistry-Paraffin: AHCYL1 Antibody [NBP1-83093] - Staining of human duodenum shows moderate membranous and cytoplasmic positivity in glandular cells.
- Submitted by
- Novus Biologicals (provider)
- Main image

- Experimental details
- Immunohistochemistry-Paraffin: AHCYL1 Antibody [NBP1-83093] - Staining of human endometrium shows weak membranous positivity in glandular cells.