Antibody data
- Antibody Data
- Antigen structure
- References [0]
- Comments [0]
- Validations
- Western blot [1]
- Immunocytochemistry [1]
- Immunohistochemistry [1]
Submit
Validation data
Reference
Comment
Report error
- Product number
- AP51346PU-N - Provider product page

- Provider
- Acris Antibodies GmbH
- Proper citation
- Acris Antibodies GmbH Cat#AP51346PU-N, RRID:AB_11144365
- Product name
- anti Dishevelled-3 / DVL3 (C-term)
- Antibody type
- Polyclonal
- Antigen
- KLH conjugated synthetic peptide between 537-565 amino acids from the C-terminal region of Human DVL3.
- Reactivity
- Human
- Host
- Rabbit
- Vial size
- 0.4 ml
- Concentration
- lot specific
No comments: Submit comment
Supportive validation
- Submitted by
- Acris Antibodies GmbH (provider)
- Main image

- Experimental details
- Western blot analysis of Dishevelled-3 / DVL3Â Antibody (C-term) Cat.-No AP51346PU-NÂ in K562 cell line lysates (35ug/lane). This demonstrates the DVL3 antibody detected the DVL3 protein (arrow).
Supportive validation
- Submitted by
- Acris Antibodies GmbH (provider)
- Main image

- Experimental details
- Confocal immunofluorescent analysis of Dishevelled-3 / DVL3 Antibody (C-term) Cat.-No AP51346PU-N with A375 cell followed by Alexa Fluor 488-conjugated goat anti-rabbit lgG (green). Actin filaments have been labeled with Alexa Fluor 555 phalloidin (red).DAPI was used to stain the cell nuclear (blue).
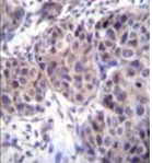
Supportive validation
- Submitted by
- Acris Antibodies GmbH (provider)
- Main image

- Experimental details
- Formalin fixed and paraffin embedded human breast carcinoma reacted with Dishevelled-3 / DVL3 Antibody (C-term) Cat.-No AP51346PU-N followed by peroxidase conjugation of the secondary antibody and DAB staining.