Antibody data
- Antibody Data
- Antigen structure
- References [1]
- Comments [0]
- Validations
- Western blot [2]
- Immunohistochemistry [1]
Submit
Validation data
Reference
Comment
Report error
- Product number
- ABIN615914 - Provider product page

- Provider
- antibodies-online
- Product name
- anti-serine threonine Kinase 39 (STK39) (Internal Region) antibody
- Antibody type
- Polyclonal
- Antigen
- Peptide sequence from the internal region of Human STK39 / SPAK (NP_037365.2).
- Description
- Ammonium Sulphate Precipitation followed by Antigen Affinity Chromatography using the immunizing peptide
- Reactivity
- Human, Mouse, Rat, Canine
- Host
- Goat
- Antigen sequence
C-SQEKSRRVKEENPE- Epitope
- Internal Region
- Vial size
- 0.1 mg
- Concentration
- 0.5 mg/mL
- Storage
- Store undiluted at 2-8°C for one month or (in aliquots) at -20°C for longer.
- Handling
- Avoid repeated freezing and thawing.
Submitted references An analysis of candidate autism loci on chromosome 2q24-q33: evidence for association to the STK39 gene.
Ramoz N, Cai G, Reichert JG, Silverman JM, Buxbaum JD
American journal of medical genetics. Part B, Neuropsychiatric genetics : the official publication of the International Society of Psychiatric Genetics 2008 Oct 5;147B(7):1152-8
American journal of medical genetics. Part B, Neuropsychiatric genetics : the official publication of the International Society of Psychiatric Genetics 2008 Oct 5;147B(7):1152-8
No comments: Submit comment
Supportive validation
- Submitted by
- antibodies-online (provider)
- Main image

- Experimental details
- AP23695PU-N STK39 / SPAK Antibody of Mouse (A) and Rat (B) Brain (35μg protein in RIPA buffer). Primary incubation was 1 hour. Detected by chemiluminescence.
- Submitted by
- antibodies-online (provider)
- Main image

- Experimental details
- AP23695PU-N STK39 / SPAK Antibody staining of Jurkat lysate at 0.5 μg/ml (35 μg protein in RIPA buffer). Primary incubation was 1 hour. Detected by chemiluminescence.
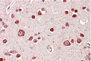
Supportive validation
- Submitted by
- antibodies-online (provider)
- Main image

- Experimental details
- AP23695PU-N STK39 / SPAK Antibody staining of paraffin embedded Human Cerebral Cortex at 3.8 μg/ml. Steamed antigen retrieval with citrate buffer pH 6, AP-staining.