Antibody data
- Antibody Data
- Antigen structure
- References [0]
- Comments [0]
- Validations
- Western blot [1]
- Immunohistochemistry [1]
Submit
Validation data
Reference
Comment
Report error
- Product number
- A302-466A - Provider product page

- Provider
- Invitrogen Antibodies
- Product name
- SPAK Polyclonal Antibody
- Antibody type
- Polyclonal
- Antigen
- Other
- Reactivity
- Human
- Host
- Rabbit
- Isotype
- IgG
- Vial size
- 100 µL
- Concentration
- 0.20 mg/mL
- Storage
- 4° C
No comments: Submit comment
Supportive validation
- Submitted by
- Invitrogen Antibodies (provider)
- Main image

- Experimental details
- Detection of human SPAK by western blot. Samples: Whole cell lysate (5, 15 and 50 µg) from HeLa cells. Antibodies: Affinity purified rabbit anti-SPAK antibody A302-466A used for WB at 0.04 µg/ml. Detection: Chemiluminescence with an exposure time of 30 seconds.
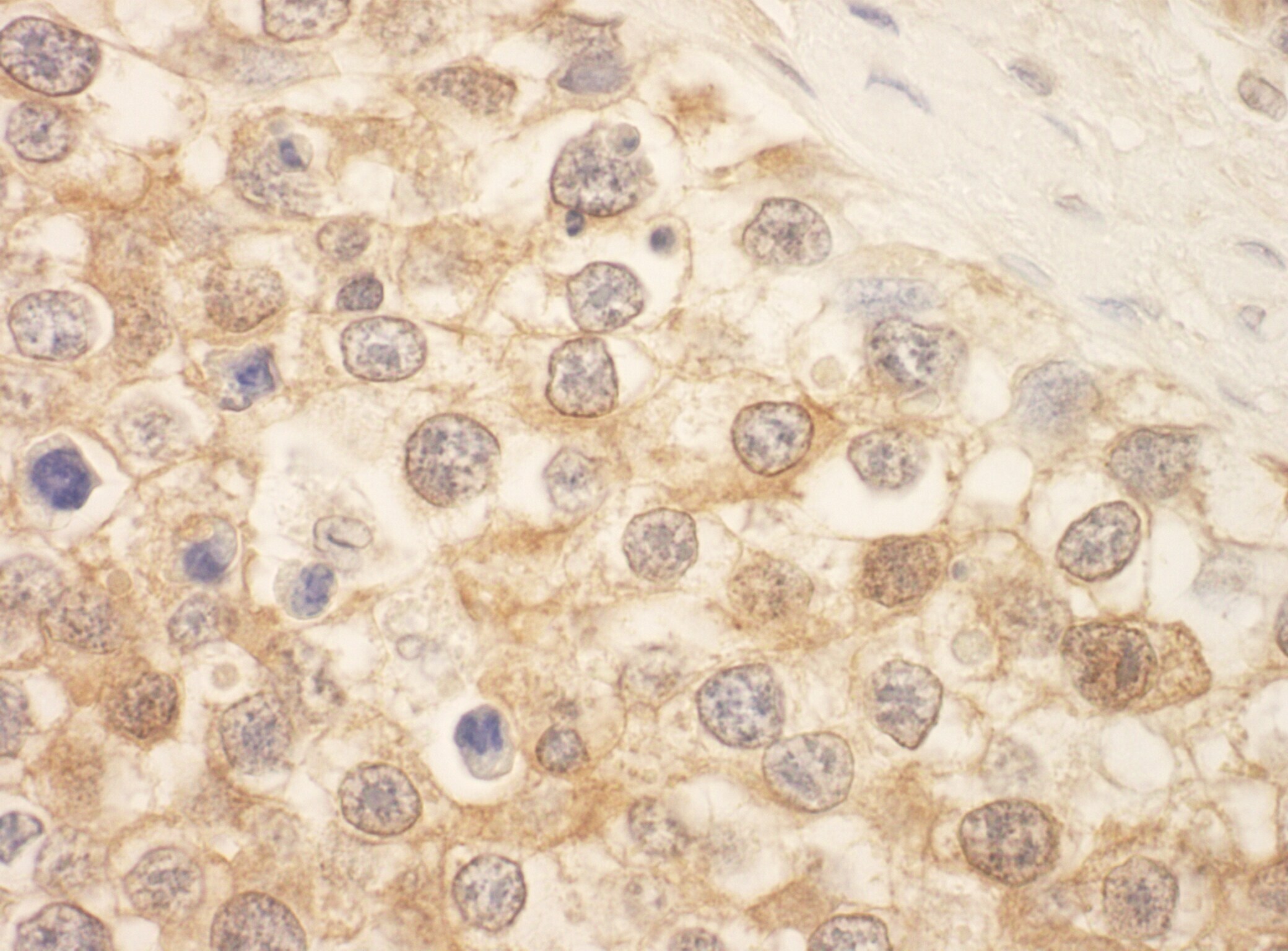
Supportive validation
- Submitted by
- Invitrogen Antibodies (provider)
- Main image

- Experimental details
- Detection of human SPAK by immunohistochemistry. Sample: FFPE section of human testicular seminoma. Antibody: Affinity purified rabbit anti- SPAK (Cat. No. A302-466A Lot1) used at a dilution of 1:200 (1µg/ml). Detection: DAB.