Antibody data
- Antibody Data
- Antigen structure
- References [0]
- Comments [0]
- Validations
- Western blot [1]
- Immunohistochemistry [2]
Submit
Validation data
Reference
Comment
Report error
- Product number
- AP22996PU-N - Provider product page

- Provider
- Acris Antibodies GmbH
- Proper citation
- Acris Antibodies GmbH Cat#AP22996PU-N, RRID:AB_10850086
- Product name
- anti STK39 / SPAK (C-term)
- Antibody type
- Polyclonal
- Antigen
- STK39 antibody was raised against stk39 antibody was raised against a 19 amino acid peptide from near the carboxy terminus of human Stk39.
- Reactivity
- Human
- Host
- Rabbit
- Vial size
- 50 µg
No comments: Submit comment
Supportive validation
- Submitted by
- Acris Antibodies GmbH (provider)
- Main image

- Experimental details
- Western blot analysis of Stk39 in SK-N-SH cell lysate with Stk39 antibody (AP22996PU-N) at (A) 1 and (B) 2 µg/ml
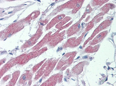
Supportive validation
- Submitted by
- Acris Antibodies GmbH (provider)
- Main image

- Experimental details
- Human Heart: Formalin-Fixed, Paraffin-Embedded (FFPE)
- Submitted by
- Acris Antibodies GmbH (provider)
- Main image

- Experimental details
- Human Skeletal Muscle: Formalin-Fixed, Paraffin-Embedded (FFPE)