Antibody data
- Antibody Data
- Antigen structure
- References [1]
- Comments [0]
- Validations
- Immunocytochemistry [1]
- Immunohistochemistry [1]
- Other assay [1]
Submit
Validation data
Reference
Comment
Report error
- Product number
- PA5-57855 - Provider product page

- Provider
- Invitrogen Antibodies
- Product name
- VPS8 Polyclonal Antibody
- Antibody type
- Polyclonal
- Antigen
- Recombinant protein fragment
- Description
- Immunogen sequence: EEIYPYIRTL LHFDTREFLN VLALTFEDFK NDKQAVEYQQ RIVDILLKVM VENSDFTPSQ VGCLFTFLAR QLA Highest antigen sequence identity to the following orthologs: Mouse - 97%, Rat - 97%.
- Reactivity
- Human
- Host
- Rabbit
- Isotype
- IgG
- Vial size
- 100 μL
- Concentration
- 0.2 mg/mL
- Storage
- Store at 4°C short term. For long term storage, store at -20°C, avoiding freeze/thaw cycles.
Submitted references Developmental kinetics and transcriptome dynamics of stem cell specification in the spermatogenic lineage.
Law NC, Oatley MJ, Oatley JM
Nature communications 2019 Jun 26;10(1):2787
Nature communications 2019 Jun 26;10(1):2787
No comments: Submit comment
Supportive validation
- Submitted by
- Invitrogen Antibodies (provider)
- Main image

- Experimental details
- Immunofluorescent staining of VPS8 in human cell line U-251 MG shows positivity in plasma membrane & cytoplasm. Samples were probed using a VPS8 Polyclonal Antibody (Product # PA5-57855).
Supportive validation
- Submitted by
- Invitrogen Antibodies (provider)
- Main image

- Experimental details
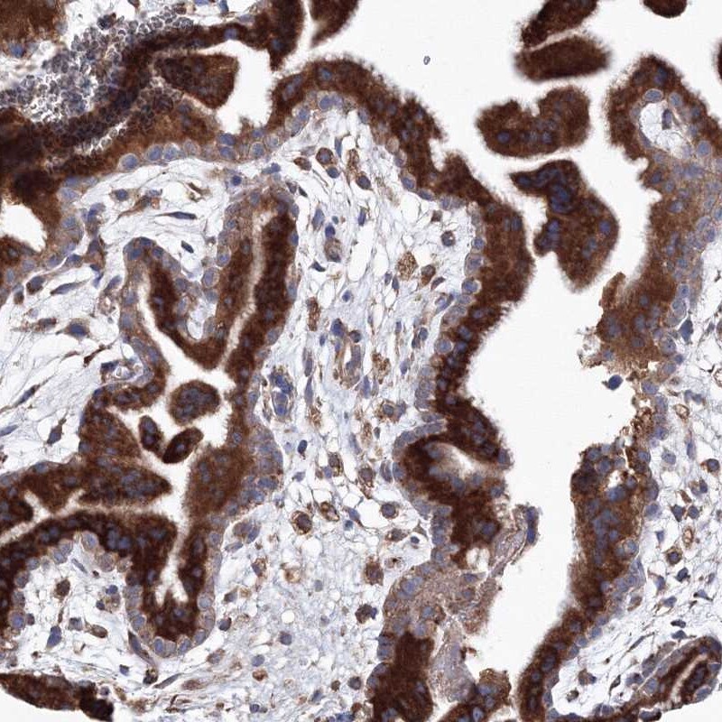
- Immunohistochemical analysis of VPS8 in human placenta using VPS8 Polyclonal Antibody (Product # PA5-57855) shows strong cytoplasmic positivity in trophoblastic cells.
Supportive validation
- Submitted by
- Invitrogen Antibodies (provider)
- Main image

- Experimental details
- Fig. 5 Validation of markers of SSC fate specification identified by scRNA-seq clustering. a - c Immunofluorescent staining for DPPA5A ( a ), VPS8 ( b ), and HHEX ( c ) proteins that were identified as differentially expressed at the transcript level in germ cell clusters 1, 5, and 7 of E16.5, P0, and P6 testes by scRNA-seq, respectively. Immunostaining is overlaid with ID4-eGFP and tdTomato fluorescence in germ cells. White arrows indicate germ cells that are DPPA5A+ and ID4-eGFP+ at E18.5, VPS8+ and ID4-eGFP Bright at P0, or HHEX+ and ID4-eGFP Bright at P6. Blue arrows indicate germ cells that have low to undetectable staining for the selected marker and ID4-eGFP. Blue asterisks denote in ( a ) vasculature in E18.5 testes that has autofluorescence, and in ( c ) an interstitial cell (i.e. tdTomato-) that is HHEX+. Seminiferous tubule borders are indicated by with white dotted lines. Scale bars, 10 um. Images are representative of >=3 cross-sections imaged from n = 2 biologically independent animals for each developmental age point